Identifican una hormona que podría curar el cáncer

Circulo de Oro 2021
/ 5 agosto 2015

Una estructura química idéntica al veneno del Ouabolo fue identificada en el cuerpo humano y sorprendentemente podría ayudar a eliminar completamente el cáncer.

Ciudad de México.- Cuando identificaron por primera vez esta sustancia, los Inées -nativos de Gabón, África- la usaban como veneno para sus flechas. También conocido como veneno cardíaco, la Ouabaína es extraída de la raíz del Ouabolo. Al descubrirla, los médicos occidentales emplearon las propiedades que tenía para que actuará sobre el sistema cardiovascular como un tratamiento a los problemas relacionados con el corazón.

Aunque solía ser muy popular y durante muchos años fue considerada una droga de uso corriente que podía ser encontrada en cualquier farmacia, se descubrió con el tiempo que los efectos de la Ouabaína podían ser terribles: se descubrió que una sola gota podía ser capaz de aniquilar a un hipopótamo, además, la dosis mínima recomendada para tratar los trastornos cardíacos era muy cercana a la dosis mortal por lo que dejó de ser empleada.

Por años se pensó que la Ouabanía tenía un origen vegetal, sin embargo, investigaciones recientes han descubierto que el cuerpo humano tiene la capacidad para segregar ésta hormona. La evidencia encontrada respecto a esa afirmación no tiene precedentes, y es que la Ouabanía de origen vegetal acúa exactamente de la misma forma que la encontrada de forma endógena.

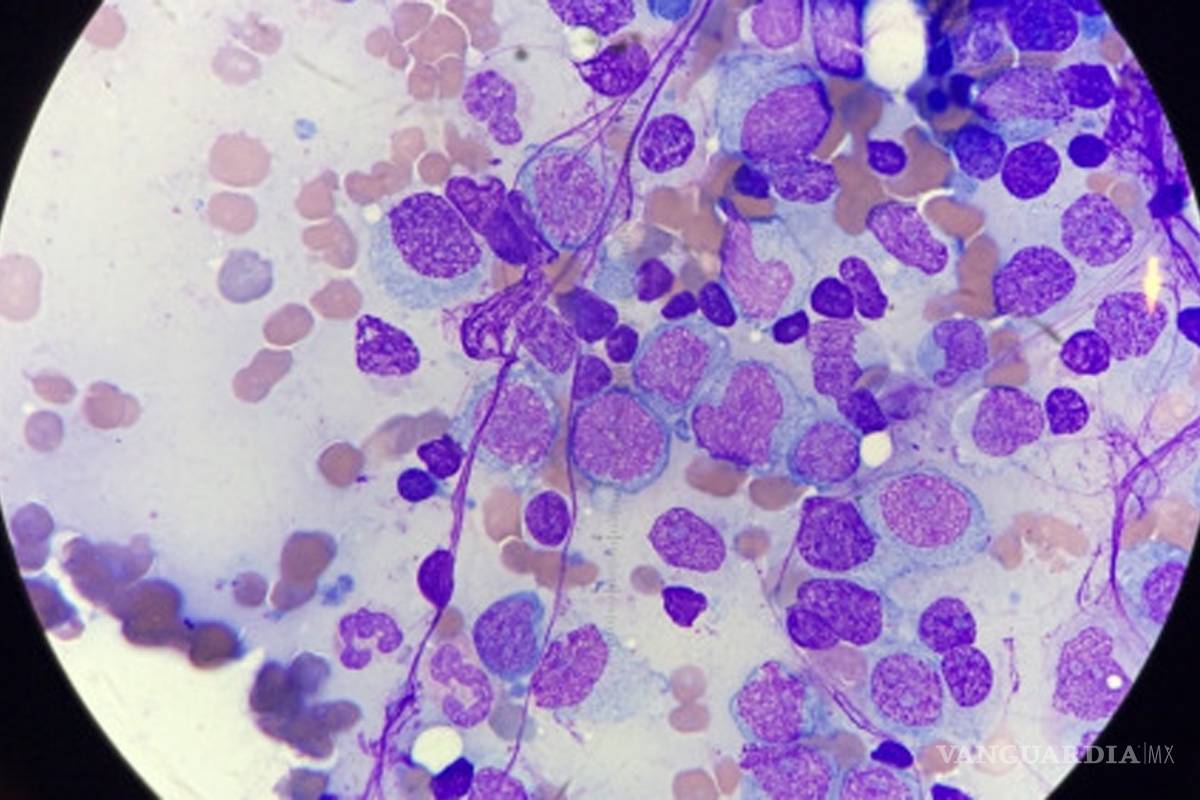
Ante la evidencia del hallazgo de Ouabaína en el plasma humano, vinieron los estudios para dilucidar su origen ¿la conclusión? la hormona permanece en el cuerpo humano para mejorar la comunicación entre las células. El descubrimiento de Ouabanía en el cuerpo es enorme, principalmente porque se ha identificado que aquello que provoca el cáncer es precisamente la comunicación inefectiva entre las células -que deben de compartir moléculas e iones de citoplasma en citoplasma en orden a mantenerse funcionales-

Werner Loewenstein y Yoshinobu Kanno demostraron que las células cancerígenas no se comunican o lo hacen de manera demasiado pobre como para construir una estructura supracelular. Con la presencia de la Ouabanía en el sistema humano se pretende identificar la verdadera razón por la cual las células se malignizan y quizá, estar más cerca del entendimiento completo del cáncer para entonces lograr llegar a una cura. Aunque las investigaciones parecen prometedoras, pasaran muchos años antes de que el hallazgo logre tener éxito.


Somos un medio de comunicación digital e impreso con cinco décadas de historia; nos hemos consolidando como uno de los sitios de noticias más visitados del Noreste de México.

Como medio multiplataforma, nos distinguimos por ofrecer contenidos confiables y de alta calidad, abarcando una amplia gama de temas, desde política y estilo de vida hasta artes y cultura. Además, ofrecemos artículos de análisis, entretenimiento y recursos útiles a través de formatos innovadores en texto, fotografía y video, que permiten a nuestros lectores estar siempre bien informados con las noticias más relevantes del día.

Nos enorgullece tener un equipo editorial compuesto por periodistas especializados en Derechos Humanos, Deportes y Artes.

COMENTARIOS