Se compromete OMS en reducir casos de lepra

Circulo de Oro 2021
/ 24 julio 2013

La organización indicó que para el año 2020 la incidencia de esta enfermedad será de uno por millón

Bangkok. La Organización Mundial de la Salud (OMS) y ministros y representantes de 17 países reunidos hoy en Bangkok reconocieron un repunte de los casos de lepra y se comprometieron a reducir la incidencia a uno por cada millón de personas para el año 2020.

"Mientras que hemos avanzado mucho en combatir la enfermedad en todos los países endémicos, no podemos parar ahora. Aún tenemos que ganar la batalla final contra la lepra", dijo el director para el Sudeste Asiático de la OMS, Samlee Plianbangchang, durante la sesión inaugural de la conferencia que se clausurará el viernes, según un comunicado.

La OMS recordó que desde que se introdujo el tratamiento a base de dapsona, rifampicina y clofazimina, a comienzos de la década de 1980, se han curado 16 millones de personas y la cantidad de países endémicos ha descendido de los 122 registrados en 1985 a 20.

No obstante, el número anual de nuevos contagios creció en 2012 y llegó a 219.000, principalmente en Africa y Asia.

El presidente de la fundación Nippon y embajador honorario de la OMS para el control de la lepra, Yohei Sasakawa, anunció en su intervención una ayuda de 20 millones de dólares por parte de la asociación que preside para combatir la afección durante los próximos cinco años, al tiempo que recabó de los presentes su "determinación más fuerte para erradicar la lepra".

Los esfuerzos de las autoridades sanitarias deben dirigirse a las poblaciones que viven en los barriadas pobres y en zonas fronterizas, así como a las etnias minoritarias, según los expertos de la agencia de la ONU.

Birmania (Myanmar), India e Indonesia fueron citados durante la sesión como países que necesitan trabajar más en sus áreas remotas,

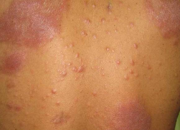
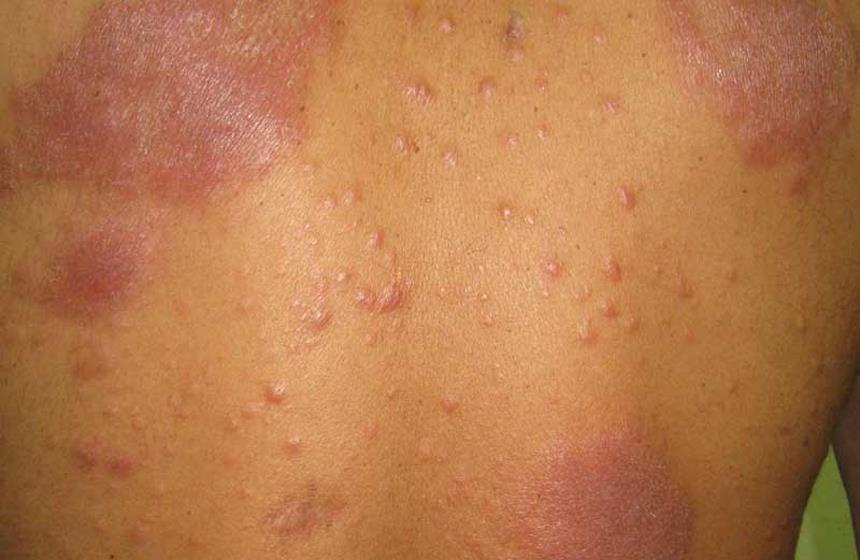
La OMS proporciona gratuitamente desde 1995 el tratamiento médico de la lepra, una dolencia infecciosa crónica causada por el bacilo Mycobacterium leprae.

La conferencia sobre la lepra que se celebra en Bangkok está organizada por la OMS y la fundación Nippon.

Agencia de noticias internacional fundada en Burgos, España el 3 de enero de 1939. Encuentra noticias en español sobre los acontecimientos más relevantes en el mundo en formato texto, fotografía, video y multimedia.