Casi listo tratamiento contra fibrosis pulmonar idiopática

+ Seguir en Seguir en Google
Circulo de Oro 2021
/ 22 mayo 2014

La supervivencia media de esta enfermedad es de dos a tres años

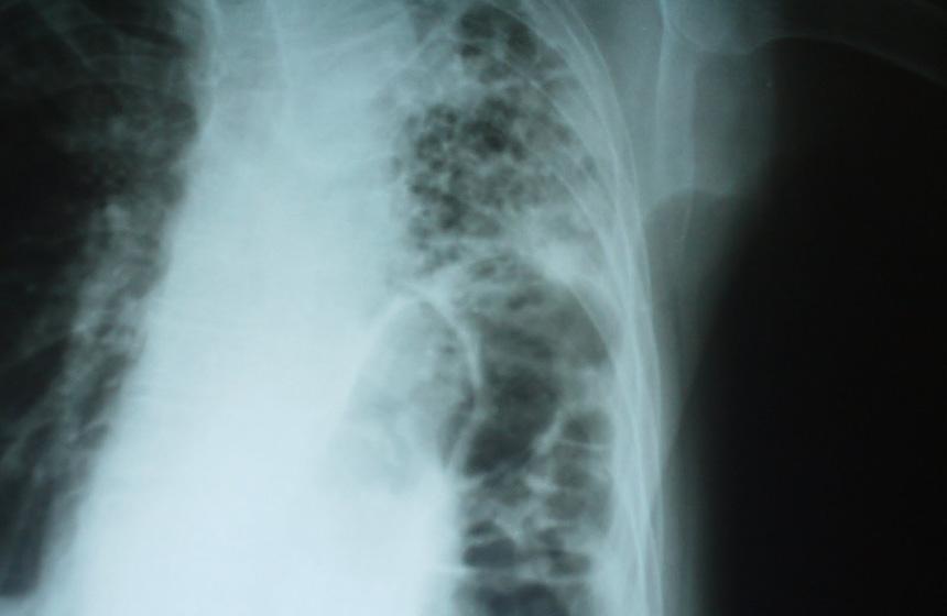
San Diego.- La Fibrosis Pulmonar Idiopática (FPI) es una enfermedad que en la actualidad no tiene cura y es mortal para los pulmones, aunque ya está en desarrollo el primer tratamiento específico para este mal, aseguró el especialista de la Universidad de Southampton, Reino Unido, Luca Richeldi.

Se estima una supervivencia media de dos a tres años a quienes padecen este mal, toda vez que provoca la cicatrización progresiva de los pulmones, deteriora de manera continua la función pulmonar y dificultad la respiración del paciente hasta provocar la muerte, resaltó.

En una reunión con periodistas, en el marco del Congreso Internacional de la American Thoracic Society (ATS) , que se celebró en esta ciudad estadunidense, el profesor de medicina respiratoria señaló que en la actualidad, los pacientes con FPI cuentan con opciones de tratamiento muy limitadas.

"Hay una necesidad no satisfecha de tratamientos eficaces que alteren el curso de esta enfermedad mortal, al desacelerar su progresión y permitir una mejor calidad de vida" , expresó.

Por su parte, el gerente médico del área respiratoria de Boehringer Ingelheim, Alberto Hegewisch, resaltó la importancia de desarrollar alternativas de tratamiento que permitan reducir significativamente la tasa de declive de la función pulmonar de quien padece esta enfermedad.

Afirmó que en la actualidad, la FPI afecta entre 14 y 43 personas por cada 100 mil habitantes, y en la mayoría de los casos su incidencia se refleja en pacientes mayores de años 50 años y que esta es más común en hombres que en mujeres.

Y aunque no se tiene delimitada la incidencia de FPI en México, aclaró, este padecimiento se manifiesta en menos de cinco pacientes por cada 10 mil habitantes.

En ese sentido, anunció que la nueva molécula de Boehringer Ingelheim para el tratamiento de la fibrosis pulmonar idiopática -la nintedanib- se encuentra en fase III de desarrollo clínico y tiene la capacidad de disminuir el deterioro anual de la función pulmonar en un 50 por ciento aproximadamente.

De acuerdo al resultado de los ensayos de fase III INPULSIS publicados en la revista New England Journal of Medicine, esta molécula redujo significativamente la progresión de la enfermedad, por lo que de cumplir con el objetivo primario en dos ensayos internacionales de fase III con diseño idéntico, se tratará del primer tratamiento específico para este mal, resaltó.

En este aspecto, la médico adscrito en Instituto de Nacional de Enfermedades Respiratorias (INER) Ivette Buendía, aclaró la necesidad de conocer esta enfermedad y ver el impacto que esta representa para la salud de los mexicanos.

Y es que, dijo, al compararse con diversos tipos de cáncer, este padecimiento tiene el mismo impacto que el efisema pulmonar o incluso más, ya que no cuenta con un tratamiento específico.

"Y aunque se habla de un problema de salud, que se tiene bien identificado en México, no existe un tratamiento específico y esta enfermedad realmente necesita atenderse" , añadió.

Notimex era una agencia de noticias estatal de México, durante más de medio siglo fue una fuente clave de información nacional e internacional para medios, instituciones y el público en general.

La agencia suspendió sus operaciones desde febrero de 2020 por una huelga, en diciembre de 2023 cerró oficialmente.