Células cancerosas, sensibles a quimioterapia gracias a anticuerpos de lupus

+ Seguir en Seguir en Google
Circulo de Oro 2021
/ 25 octubre 2012

La investigación podría contribuir a explicar los inesperadamente bajos niveles de cáncer de mama, de ovario y de próstara en los individuos con lupus, una enfermedad autoinmune que afecta a más de 5 millones de personas en el mundo.

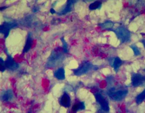
Washington. Los anticuerpos del lupus, que atacan las células y los tejidos sanos del propio cuerpo, parecen hacer que las células cancerosas se vuelvan más sensibles a la quimioterapia, revela un nuevo estudio publicado en Science Transitional Medicine

Los hallazgos son los primeros en señalar que los anticuerpos del lupus podrían ser usados potencialmente para tratar el cáncer.

El estudio podría contribuir a explicar los inesperadamente bajos niveles de cáncer de mama, de ovario y de próstara en los individuos con lupus, una enfermedad autoinmune que afecta a más de cinco millones de personas en todo el mundo.

En el estudio, el profesor adjunto de la Universidad de Yale James Hansen y sus colegas determinaron que un anticuerpo del lupus llamado 3E10 sensibiliza los tumores de ovario a la radiación en el laboratorio.

El anticuerpo del lupus penetra las células y se pega al ADN, lo que daña la maquinaria ceular necesaria para reparar el ADN.

Sin la capacidad para reparar el ADN, las células se vuelven más vulnerables a las terapias que lo dañan, como la radiación.

Sorprendentemente, el anticuerpo en sí (sin radiación ni quimioterapia) puede matar las células cancerosas que tienen deficiencias en la reparación del ADN como en el caso de las células de cáncer de mama, ovario y próstata.

De acuerdo con lo investigadores, los resultados apuntan a que el anticuerpo podría ser útil como una nueva terapia que ataca las células cancerosas con deficiencias en la reparación del ADN, mientras deja sin daño las células normales.

La Agencia de Noticias Xinhua es la agencia oficial de noticias del gobierno de la República Popular China y la mayor del país. Depende del Consejo de Estado de la República Popular China. Los críticos de la misma la consideran un instrumento de propaganda del estado.