Proteína (DDK-1) permite anticipar el éxito o fracaso de la quimioterapia

Circulo de Oro 2021
/ 8 junio 2015

Un equipo descubrió que la proteína Dickkopf-1 (DDK-1) permite saber con antelación si el tratamiento clásico de quimioterapia será o no efectivo.

Madrid, España.- El cáncer de colon (o colorrectal) es la neoplasia de mayor incidencia en España, tanto en hombres como en mujeres, con más de 30,000 nuevos casos anuales y un elevado índice de mortalidad.

La supervivencia de los pacientes diagnosticados en fase avanzada no ha mejorado desde hace años y el tratamiento estándar sigue siendo la quimioterapia indiscriminada en todos los pacientes.

Aunque la quimioterapia es beneficiosa en términos globales, la falta de información sobre los pacientes susceptibles de beneficiarse de ella (la deseada medicina personalizada) conlleva tratamientos y toxicidades innecesarias, y altos costes sanitarios.

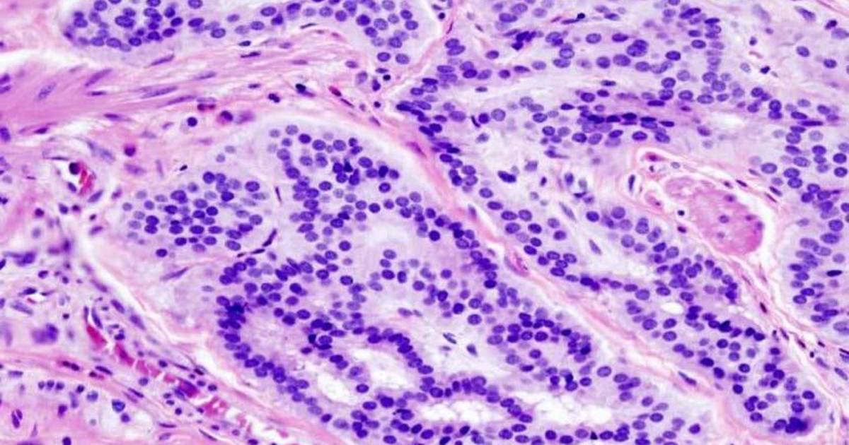
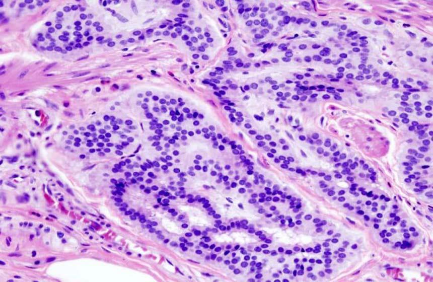
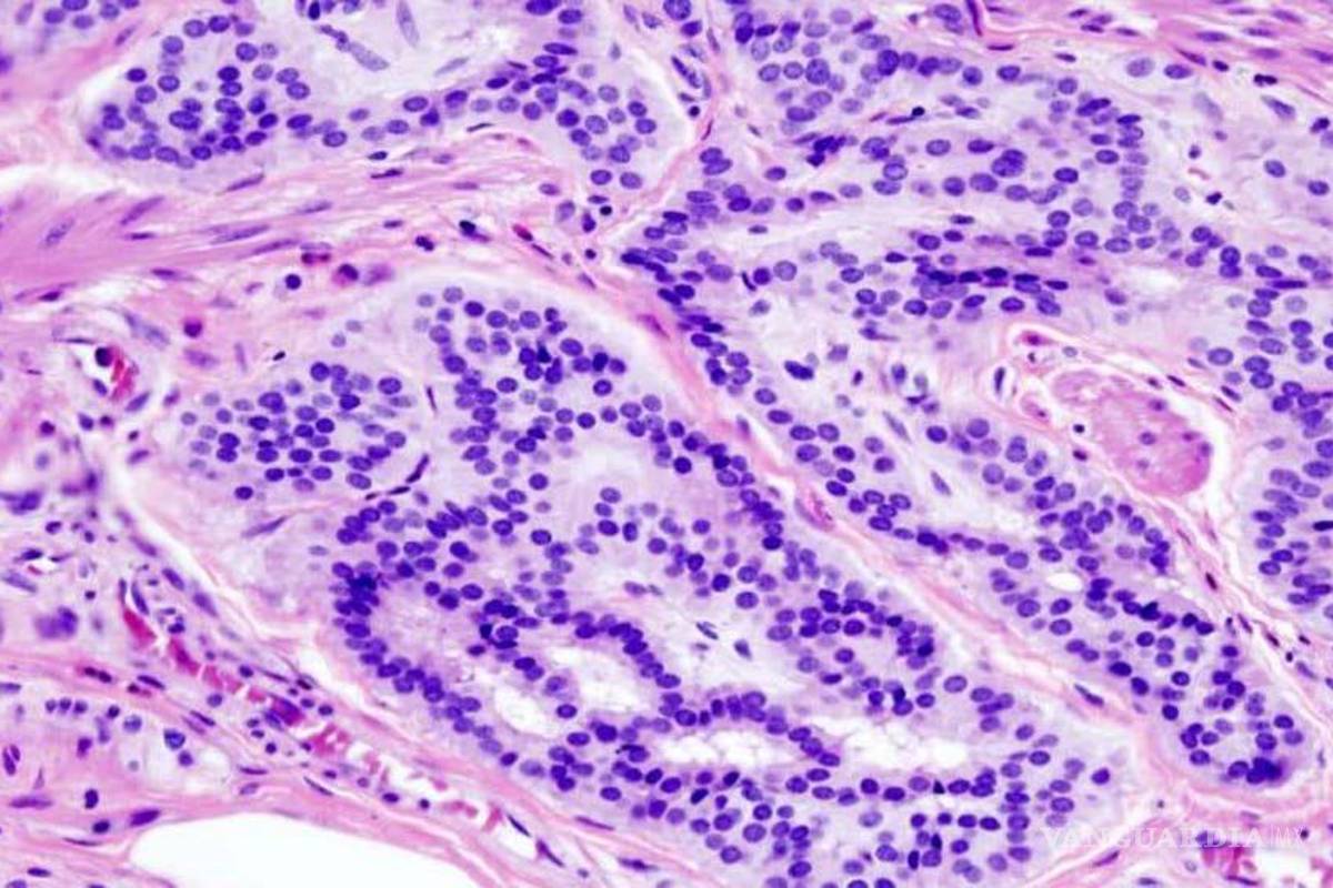
Ahora, un estudio realizado por científicos españoles y publicado en la revista Oncotarget, explica que la expresión de la proteína Dickkopf-1 (DKK-1) en las células de los tumores de colon puede predecir la respuesta de los pacientes a los tratamientos clásicos.

El trabajo describe la localización de DKK-1 en una amplia serie de 699 tumores de pacientes con cáncer de colon metastásico y su relación con la supervivencia global y el período libre de enfermedad tras el tratamiento quimioterápico.

Los autores concluyen que la presencia de DKK-1 en el interior del núcleo celular supone una peor respuesta a la quimioterapia y un menor grado de supervivencia.

La proteína DKK-1

La mayor parte de los tumores de colon comienzan con la activación anormal de una vía de señalización molecular llamada Wnt/beta-catenina.

La proteína DKK-1 actúa como un inhibidor de esta vía desde el exterior de la célula, donde impide la unión efectiva de los factores Wnt a sus receptores en la membrana de las células.

Para explicar la inesperada presencia y papel de DKK-1 en el interior del núcleo, los autores del estudio han investigado su función en cultivos de células humanas de cáncer de colon.

Así, comprobaron que DKK-1 se localiza en la cromatina activa, es decir, está asociada a genes que están siendo expresados, y estudios bioquímicos y funcionales han permitido identificar genes regulados por DKK-1 entre los que hay algunos marcadores de células troncales (stem) cancerosas, implicados en la detoxificación de fármacos como ALDH1A1 y REPS2, y otros en proliferación y supervivencia celular, explican los autores.

El trabajo ha sido llevado a cabo por los grupos de Alberto Muñoz, en el Instituto de Investigaciones Biomédicas Alberto Sols, centro mixto UAM-CSIC, y de Federico Rojo, del Servicio de Anatomía Patológica de la Fundación Jiménez Díaz, en colaboración con el Instituto de Oncología del Principado de Asturias, la Universidad de Cantabria y del CNIO en Madrid. 

Agencia de noticias internacional fundada en Burgos el 3 de enero de 1939. El entonces ministro del Interior, Ramón Serrano Suñer, impulsó la creación de la agencia, en la que participaron activamente: José Antonio Jiménez Arnau, Manuel Aznar Zubigaray y Vicente Gállego.

COMENTARIOS