Hasta ahora esto es lo que sabemos sobre el HMPV, el virus que se propaga en China

+ Seguir en Seguir en Google
Internacional
/ 8 enero 2025

Las noticias sobre el aumento de casos de un virus respiratorio en China han evocado ecos oscuros del inicio de la pandemia de la COVID-19 hace casi exactamente cinco años

Pero, a pesar de las similitudes superficiales, esta situación es muy distinta y mucho menos preocupante, según los expertos médicos.

Supuestamente, los casos chinos son infecciones por metapneumovirus humano, conocido por los médicos como HMPV. Esto es lo que sabemos:

TE PUEDE INTERESAR: Descartan emergencia sanitaria, pese alarmas por virus en China

¿QUÉ ES EL HMPV?

Es uno de los varios patógenos que circulan por el mundo cada año causando enfermedades respiratorias. El HMPV es común, tanto que la mayoría de las personas se infectan cuando aún son niños y pueden experimentar varias infecciones a lo largo de su vida. En los países con meses de frío, el HMPV puede tener una temporada anual, muy parecida a la influenza, mientras que en los lugares más cercanos al ecuador circula a niveles más bajos durante todo el año.

El HMPV es similar a un virus más conocido en Estados Unidos: el virus sincicial respiratorio o VRS, que es la causa de síntomas muy parecidos a los asociados con la influenza y el COVID, como tos, fiebre, congestión nasal y sibilancias.

La mayoría de las infecciones por HMPV son leves, parecidas a un resfriado común. Pero los casos graves pueden provocar bronquitis o neumonía, sobre todo en lactantes, adultos mayores y personas inmunodeprimidas. Los pacientes con afecciones pulmonares preexistentes, como asma, enfermedad pulmonar obstructiva crónica o enfisema, tienen mayor riesgo de sufrir desenlaces clínicos graves.

$!Una mujer con mascarilla viaja en motocicleta después de que se detectaran dos casos de metaneumovirus humano (HMPV) en Bangalore, India.

En los países de altos ingresos, el virus casi nunca es mortal; en los países de bajos ingresos, con sistemas sanitarios débiles y una vigilancia deficiente, las muertes son más comunes.

¿CÓMO SE INFECTA UNA PERSONA CON EL HMPV?

El virus se propaga principalmente a través de gotitas o aerosoles de la tos o los estornudos, por contacto directo con una persona infectada o por exposición a superficies contaminadas, en esencia las mismas formas en que la gente contrae resfriados, influenza y COVID.

¿EXISTE UNA VACUNA? ¿O UN TRATAMIENTO?

No hay una vacuna contra el HMPV. Pero hay una vacuna contra el VRS y se está investigando para encontrar una vacuna que pueda proteger contra ambos virus con una sola inyección, ya que son similares. No hay un tratamiento antiviral específico para el HMPV; el tratamiento se centra en el control de los síntomas.

¿QUÉ DICE CHINA AL RESPECTO?

Las autoridades chinas han reconocido que los casos de HMPV están aumentando, pero han hecho hincapié en que el virus es una entidad conocida y no constituye una preocupación importante. El coronavirus que causa la COVID-19 era un patógeno nuevo, por eso el sistema inmunitario de las personas no había creado defensas contra él.

TE PUEDE INTERESAR: Se vigila en México virus HMPV pero ‘no es una amenaza’: Salud

En una conferencia de prensa que dio el Centro para el Control y la Prevención de Enfermedades de China el 27 de diciembre, Kan Biao, director del Instituto de Enfermedades Infecciosas del centro, afirmó que los casos de HMPV iban en aumento entre los niños de 14 años o menos. El incremento era especialmente notable en el norte de China, señaló. También han aumentado los casos de influenza, dijo.

Los casos podrían dispararse durante el feriado del Año Nuevo lunar, a finales de enero, cuando muchas personas viajan y se reúnen en grandes grupos, comentó.

Pero en general, dijo Kan, “a juzgar por la situación actual, la escala y la intensidad de la propagación de las enfermedades infecciosas respiratorias este año serán inferiores a las del año pasado”.

Los datos oficiales chinos muestran que los casos de HMPV han ido en aumento desde mediados de diciembre, tanto en casos ambulatorios como de urgencias, según Xinhua, la agencia estatal de noticias. Algunos padres y usuarios de las redes sociales no estaban familiarizados con el virus y buscaban consejo en línea, dijo el medio, el cual instó a la calma y a las precauciones comunes, como lavarse las manos con frecuencia y evitar los lugares concurridos.

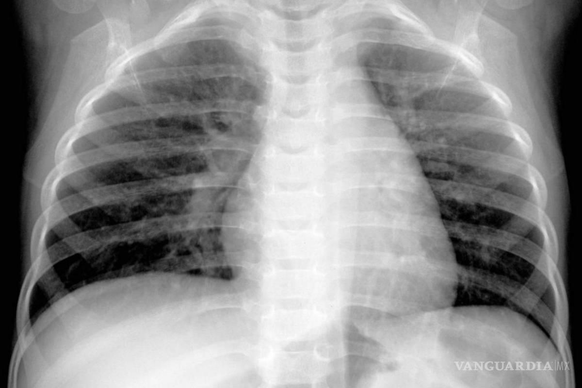
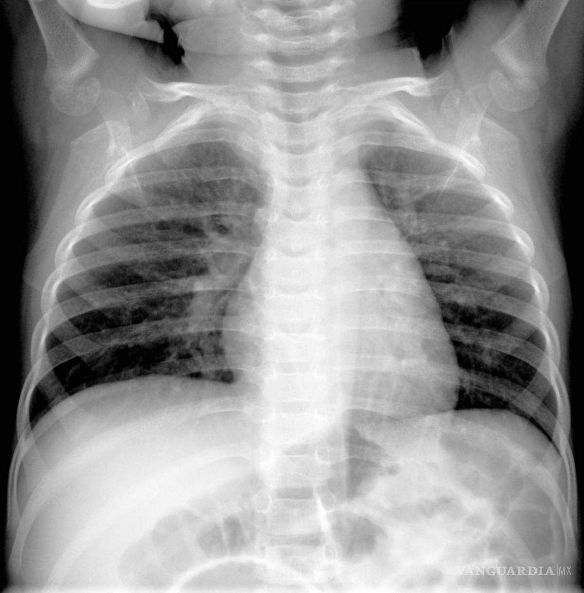
$!Una imagen de rayos X proporcionada por Hilmes et al., Pediatric Radiology, 2017 muestra a un niño de cuatro meses infectado por metapneumovirus humano.

En una rueda de prensa rutinaria celebrada el viernes, un portavoz del Ministerio de Asuntos Exteriores reiteró que los casos de influenza y otros virus respiratorios aumentan de manera habitual en esta época del año, pero que “parecen ser menos graves y propagarse a menor escala en comparación con el año anterior”.

La semana pasada, las autoridades chinas declararon que iban a establecer un sistema de vigilancia para la neumonía de origen desconocido. Incluirá procedimientos para que los laboratorios notifiquen los casos y para que las agencias de control y prevención de enfermedades los verifiquen y traten, informó la cadena estatal CCTV.

¿QUÉ DICE LA OMS?

La OMS no ha expresado su preocupación. Margaret Harris, portavoz de la organización, citó informes semanales de las autoridades chinas que mostraban un aumento previsible de los casos.

Como era de esperarse para esta época del año, el invierno del hemisferio norte, cada mes hay un aumento de las infecciones respiratorias agudas, incluida la influenza estacional, el VRS y el metapneumovirus humano”, dijo por correo electrónico.

¿DEBO PREOCUPARME?

Los informes procedentes de China evocan los de los primeros y confusos días de la pandemia de la COVID, y la OMS sigue instando a China a compartir más información sobre el origen de aquel brote, cinco años después.

Pero la situación actual es diferente en aspectos clave. El virus de la COVID pasó a los humanos de los animales y era desconocido hasta entonces. El HMPV está bien estudiado y existe una amplia capacidad para realizar pruebas a fin de detectarlo. Hay una amplia inmunidad de la población frente a este virus en todo el mundo, mientras que en el caso de la COVID no la había. Una temporada grave de HMPV puede sobrecargar la capacidad hospitalaria, en particular las unidades pediátricas, pero no desborda los centros médicos.

Sin embargo, también es vital que China comparta oportunamente sus datos sobre este brote”, declaró Sanjaya Senanayake, especialista en enfermedades infecciosas y profesor titular de Medicina en la Universidad Nacional Australiana. “Esto incluye datos epidemiológicos sobre quién se está infectando. Además, necesitaremos datos genómicos que confirmen que el HMPV es el culpable y que no hay mutaciones significativas preocupantes”. c.2025 The New York Times Company.

Por Stephanie Nolen, The New York Times.

Temas



Localizaciones



Lee en Vanguardia los mejores contenidos de The New York Times sobre política nacional, internacional, negocios, ciencia, cultura, estilo de vida, opinión y deportes.

El periódico publicado en la ciudad de Nueva York es editado por Arthur Gregg Sulzberger y se distribuye en los Estados Unidos y otros países. Desde su primer Premio Pulitzer, en 1851, hasta la fecha, lo ha ganado 132 veces.

Selección de los editores