Puede COVID causar daños en el cerebro

Tech
/ 1 enero 2021

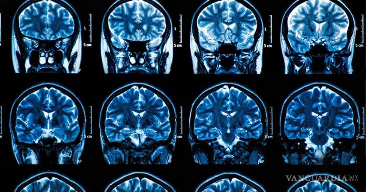
Investigadores de los Institutos Nacionales de Salud (NIH) de Estados Unidos analizaron tejido cerebral de 19 fallecidos por la enfermedad, en los que había “sistemáticamente, marcas de daño”

MADRID, ESP.- Un estudio de cómo afecta el COVID-19 al cerebro detectó daños e inflamación en los vasos sanguíneos, que podrían ser consecuencia de la respuesta inflamatoria del cuerpo ante el virus, pues en los tejidos analizados no se hallaron rastros de infección.

Investigadores de los Institutos Nacionales de Salud (NIH) de Estados Unidos analizaron tejido cerebral de 19 fallecidos por la enfermedad, en los que había “sistemáticamente, marcas de daño” causadas por el adelgazamiento y fugas en los vasos sanguíneos.

Sin embargo, no vieron “signos de SARS-Cov-2 en las muestras de tejido, lo que sugiere que el daño no fue causado por un ataque viral directo al cerebro”, según los resultados que publica New England Journal of Medicine.

Los cerebros de los pacientes que contraen COVID-19 “pueden ser susceptibles de daños en los vasos sanguíneos microvasculares” y los resultados “sugieren que pueden estar causados por la respuesta inflamatoria del cuerpo al virus”, según el autor principal del estudio, Avindra Nath, de los NIH.

El experto espera que estos resultados “ayuden a los médicos a entender todo el espectro de problemas que pueden sufrir los pacientes para poder proponer mejores tratamientos”.

Aunque el COVID-19 es principalmente una enfermedad respiratoria, los pacientes a menudo experimentan problemas neurológicos como dolores de cabeza, delirio, disfunción cognitiva, mareos, fatiga o pérdida del sentido del olfato, entre otras.

Agencia de noticias internacional fundada en Burgos el 3 de enero de 1939. El entonces ministro del Interior, Ramón Serrano Suñer, impulsó la creación de la agencia, en la que participaron activamente: José Antonio Jiménez Arnau, Manuel Aznar Zubigaray y Vicente Gállego.

COMENTARIOS

Selección de los editores