Un estudio del cerebro sugiere que los recuerdos traumáticos se procesan como una experiencia actual

+ Seguir en Seguir en Google
Vida
/ 25 marzo 2024

Gran parte de la investigación sobre el TEPT se ha centrado en la amígdala, el centro de detección del estrés en el cerebro, y el hipocampo

Por: Ellen Barry

La esencia del trastorno de estrés postraumático (TEPT) es un recuerdo que no se puede controlar. Puede entrometerse en las actividades cotidianas, empujando a una persona en medio de un suceso horrible, o aparecer como terrores nocturnos o recuerdos recurrentes.

TE PUEDE INTERESAR:

Décadas de tratamiento en veteranos militares y supervivientes de agresiones sexuales han dejado pocas dudas de que los recuerdos traumáticos funcionan de manera distinta a otros recuerdos. Un grupo de investigadores de la Universidad de Yale y de la Escuela Icahn de Medicina de Mount Sinai se propuso encontrar evidencia empírica de esas diferencias.

El equipo realizó escanografías cerebrales a 28 personas con TEPT mientras escuchaban narraciones grabadas de sus propios recuerdos. Algunos de los recuerdos grabados eran neutros, otros simplemente “tristes” y otros traumáticos.

Las escanografías cerebrales encontraron claras diferencias, según reportaron los investigadores en un artículo publicado el jueves en la revista Nature Neuroscience. Las personas que escucharon los recuerdos tristes, los cuales a menudo involucraban la muerte de un familiar, mostraron un alto grado de activación del hipocampo, la parte del cerebro que organiza y contextualiza los recuerdos.

Cuando las mismas personas escucharon sus recuerdos traumáticos —de agresiones sexuales, incendios, tiroteos escolares y atentados terroristas—, el hipocampo no se involucró.

“Nos dice que el cerebro se encuentra en un estado distinto en los dos recuerdos”, afirmó Daniela Schiller, neurocientífica de la Escuela Icahn de Medicina de Mount Sinai y una de las autoras del estudio. Schiller señaló que el objetivo de las terapias para el TEPT suele ser ayudar a las personas a organizar sus recuerdos a fin de que puedan considerarlos distantes del presente.

“Ahora encontramos algo que podría explicarlo en el cerebro”, comentó. “El cerebro no parece estar en un estado de recuerdos; parece estar en un estado de experiencia actual”.

De hecho, los autores concluyen en el artículo: “Los recuerdos traumáticos no se experimentan como recuerdos mismos”, sino como “fragmentos de eventos anteriores que subyugan el momento actual”.

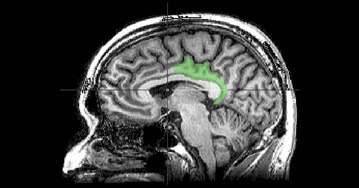
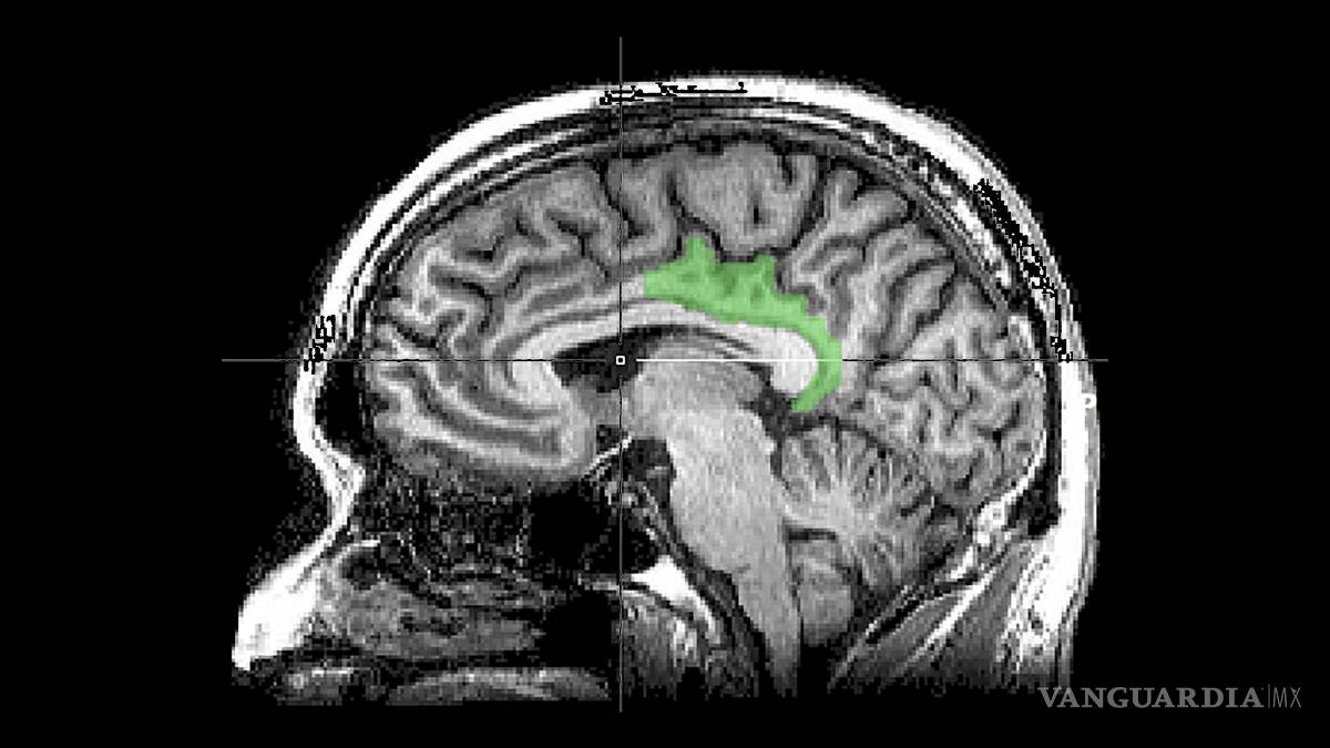
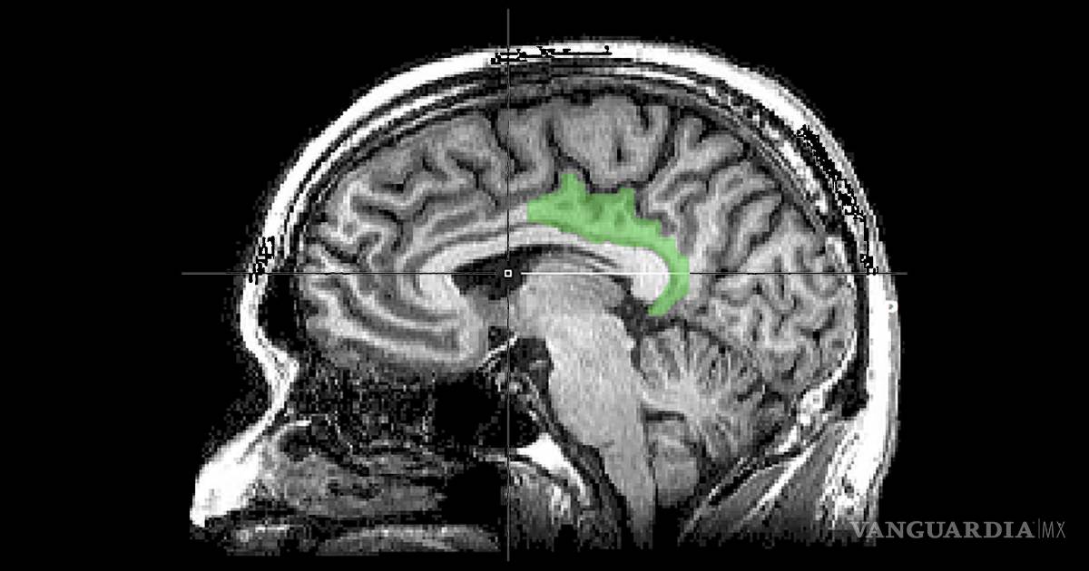
Al parecer, los recuerdos traumáticos activaron una zona distinta del cerebro: el giro cingulado posterior (GCP), el cual suele estar involucrado en el pensamiento dirigido internamente, como la introspección o la ensoñación. Mientras más graves eran los síntomas de TEPT de la persona, mayor actividad aparecía en el GCP.

Lo sorprendente de este hallazgo es que el GCP no se conoce como una región de la memoria, sino que está involucrado con el “procesamiento de la experiencia interna”, mencionó Schiller.

Los hallazgos alimentan una pregunta muy debatida en el campo del trauma: ¿los médicos deberían animar a las personas con TEPT a exponerse a sus recuerdos más traumáticos?

En años recientes, muchos estadounidenses han adoptado tratamientos, como la terapia de exposición prolongada y la terapia de desensibilización y reprocesamiento por movimientos oculares (EMDR, por su sigla en inglés), los cuales repasan los recuerdos traumáticos con la esperanza de drenarles su fuerza destructiva. Según Ilan Harpaz-Rotem, uno de los autores del estudio, los nuevos hallazgos sugirieron que volver a visitar el recuerdo es un elemento crucial del tratamiento.

“Se le ayuda al paciente a construir un recuerdo que puede organizarse y consolidarse en el hipocampo”, afirmó Harpaz-Rotem, profesor de Psiquiatría y Psicología en la Universidad de Yale.

Harpaz-Rotem describió un caso de su clínica: a un médico del Ejército le atormentaba una imagen fragmentaria de su pasado, en la que vendaba frenéticamente la herida de un soldado mientras estaba bajo fuego. En la terapia, al intentar “construir una historia, un recuerdo coherente”, el clínico ayudó al médico a completar los detalles de esa escena, incluido un soldado muerto que yacía cerca, un tiroteo en el fondo y el uso de demasiados vendajes mientras estaba aterrado.

Lo ideal es que estos tratamientos puedan ayudar a transformar el recuerdo traumático en uno que se parezca más a los recuerdos tristes ordinarios. “Es como tener un bloqueo en el lugar correcto”, comentó. “Si puedo acceder a un recuerdo, sé que es un recuerdo. Sé que no me está ocurriendo ahora”.

Ruth Lanius, directora de investigación sobre el TEPT en la Universidad de Ontario Occidental, quien no estuvo involucrada en el estudio, describió esos hallazgos como “trascendentales”, tanto porque establecen que los recuerdos traumáticos tienen vías distintas como porque indican que los mecanismos clave de un recuerdo traumático pueden estar involucrados con zonas del cerebro menos estudiadas. Gran parte de la investigación sobre el TEPT se ha centrado en la amígdala, el centro de detección del estrés en el cerebro, y el hipocampo, explicó Lanius. El giro cingulado posterior está “muy involucrado en la evocación de recuerdos” y en la búsqueda de la autorrelevancia, lo cual podría explicar por qué un recuerdo sensorial puede provocar miedo o pánico abrumadores.

“Un soldado, si oye fuegos artificiales, puede correr y protegerse”, mencionó Lanius. “Los recuerdos traumáticos no se recuerdan; se reviven y se reexperimentan”.

Según Lanius, los médicos pueden utilizar estos hallazgos para tratar a los pacientes que “no sienten que haya terminado el trauma”, empleando terapias que “aporten un contexto lineal, para saber que: ‘claro, eso ocurrió en el pasado’”. Lanius mencionó que los investigadores deberían explorar terapias, como la conciencia plena, las cuales se sabe que activan las partes del cerebro conocidas por brindar contexto.

Brian Marx, subdirector de la División de Ciencias del Comportamiento del Centro Nacional para el TEPT, quien no estuvo involucrado en el estudio, afirmó que, si con el tiempo se pueden identificar marcadores biológicos del TEPT, sería “una importante contribución científica” al interior de este campo que zanjaría las diferencias en torno a cuáles experiencias constituyen un trauma.

Marx señaló que, aunque la mayoría de los expertos coincide en que los accidentes de tráfico, las agresiones sexuales o el combate militar son eventos traumáticos, hay desacuerdo en torno a si las experiencias como el racismo o el estrés pandémico deberían considerarse la base de un diagnóstico de TEPT.

“Es una de las preguntas fundamentales de este campo”, afirmó. “Es un debate con el que todavía luchamos, porque no tenemos una respuesta”.

Marx mencionó que la nueva investigación era “intrigante”, pero no concluyente e hizo notar que no incluía un grupo de comparación de sujetos sin diagnóstico de TEPT ni especificaba cuánto tiempo hacía de los sucesos traumáticos ni si los sujetos ya habían recibido psicoterapia.

Lee en Vanguardia los mejores contenidos de The New York Times sobre política nacional, internacional, negocios, ciencia, cultura, estilo de vida, opinión y deportes.

El periódico publicado en la ciudad de Nueva York es editado por Arthur Gregg Sulzberger y se distribuye en los Estados Unidos y otros países. Desde su primer Premio Pulitzer, en 1851, hasta la fecha, lo ha ganado 132 veces.

NUESTRO CONTENIDO PREMIUM