Médico saltillense desarrolla terapia para tratar los tumores cerebrales

Saltillo
/ 28 marzo 2018

COMPARTIR

TEMAS

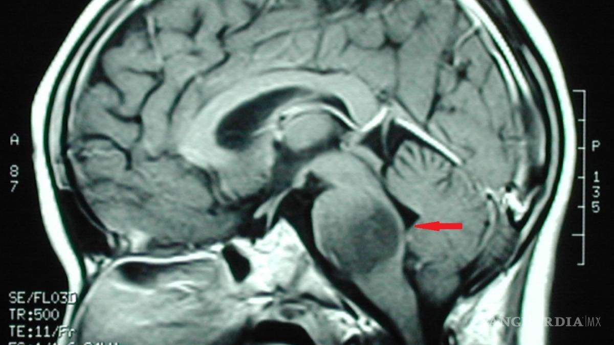
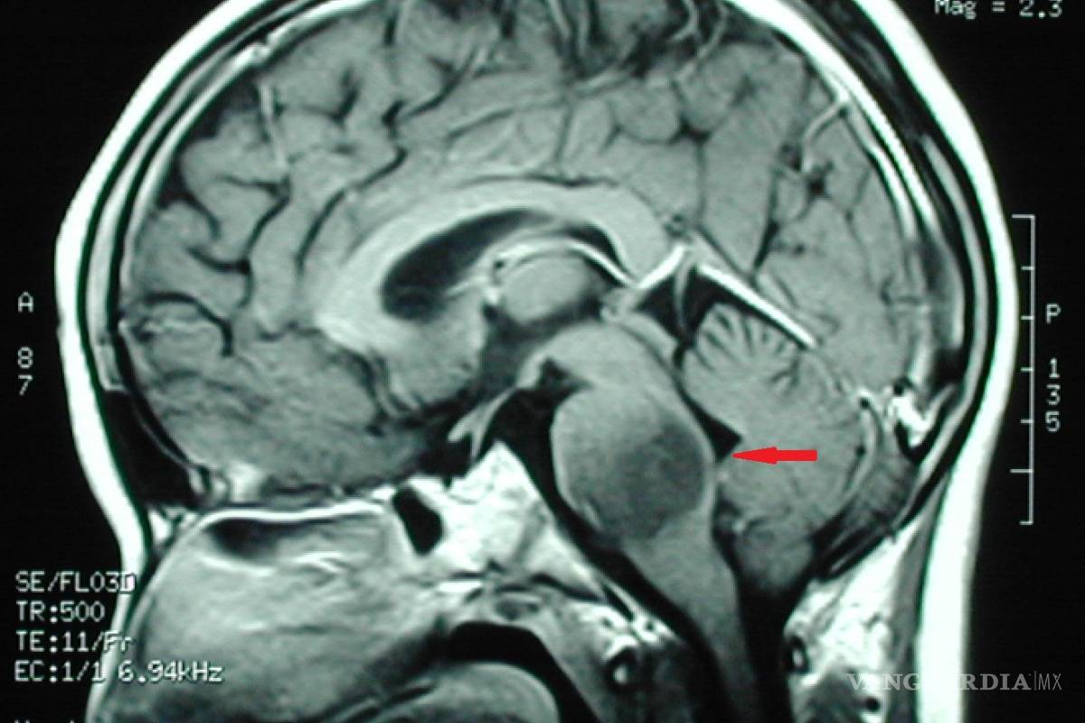
Los especialistas dieron a conocer que el tratamiento se basa en utilizar una mezcla de medicamentos que, en cierta secuencia, causan un efecto positivo en el tratamiento de los gliomas de tallo cerebral

Dos médicos de un hospital de Monterrey destacaron en los últimos meses a nivel mundial debido al desarrollo de un avanzado tratamiento para combatir los gliomas de tallo cerebral. Su método ha regreado la esperanza de vida a pacientes de Francia, Estados Unidos, Australia y otros países.

De acuerdo con información de El Norte, el saltillense y neurorradiólogo Alberto García y el oncólogo pediatra Alberto Jerónimo Siller dan atención médica en un hospital de Monterrey y se han especializado en tratar el glioma infiltrante difuso del tallo cerebral, mismo que controla la conciencia, la respiración y los latidos del corazón.

Los niños son los que principalmente padecen de la enfermedad y empiezan a desarrollar síntomas como parálisis de movimientos oculares, dificultades para hablar y caminar y tienen una esperanza de vida de nueve meses.

Quienes padecen de esa enfermedad presentan un tumor que se llega a calificar como inoperable, sin embargo, los médicos de Monterrey, con una experiencia de 20 años trabajando de la mano, desarrollaron un procedimiento denominado quimioterapia intraarterial superselectiva, la cual ha dado una esperanza de vida a sus pacientes de todo el mundo.

En entrevista, los especialistas dieron a conocer que el tratamiento se basa en utilizar una mezcla de medicamentos que, en cierta secuencia, causan un efecto positivo en el tratamiento de los gliomas de tallo cerebral o incluso de otros tumores cerebrales. 

Luego, explicaron, se hacen estudios de imagen para monitorear el avance que presentan los pacientes y en caso de no encontrarse actividad tumoral, se suspende el tratamiento y continúa en observación el paciente. 

El tratamiento ha sido aplicado a cerca de 70 pacientes de todo el mundo, la mayoría de ellos niños.

Temas

Somos un medio de comunicación digital e impreso con cinco décadas de historia; nos hemos consolidando como uno de los sitios de noticias más visitados del Noreste de México.

Como medio multiplataforma, nos distinguimos por ofrecer contenidos confiables y de alta calidad, abarcando una amplia gama de temas, desde política y estilo de vida hasta artes y cultura. Además, ofrecemos artículos de análisis, entretenimiento y recursos útiles a través de formatos innovadores en texto, fotografía y video, que permiten a nuestros lectores estar siempre bien informados con las noticias más relevantes del día.

Nos enorgullece tener un equipo editorial compuesto por periodistas especializados en Derechos Humanos, Deportes y Artes.

COMENTARIOS

NUESTRO CONTENIDO PREMIUM