Estudio con pacientes de angiosarcoma revela posibles nuevas terapias

Bienestar
/ 10 febrero 2020

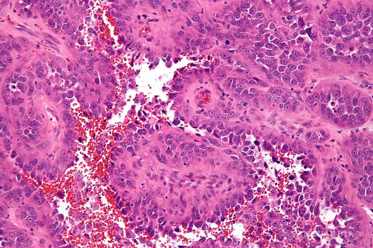
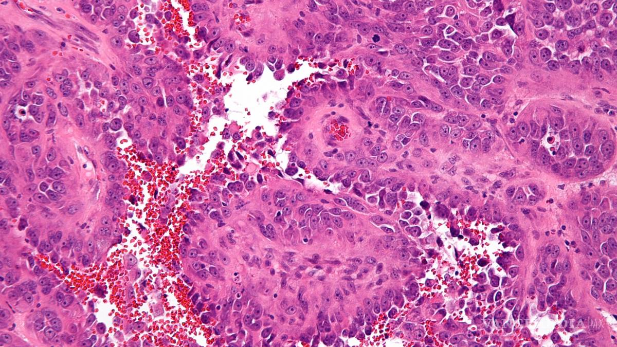
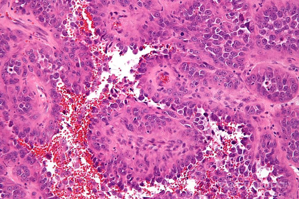
El estudio que es el resultado del Proyecto Angiosarcoma identificó nuevas causas del angiosarcoma, un cáncer poco frecuente de las paredes de los vasos sanguíneos, que podría aportar nuevas terapias.

Una investigación con pacientes del Broad Institute of MIT and Harvard (Estados Unidos) identificó nuevas causas del angiosarcoma, un cáncer poco frecuente de las paredes de los vasos sanguíneos, que podría aportar nuevas terapias, reveló hoy un artículo publicado en Nature Medicine.

El estudio es el resultado del Proyecto Angiosarcoma, que involucró a centenares de pacientes para que aportaran sus registros médicos, muestras biológicas y testimonios para permitir así que se avance en el conocimiento de esta rara patología.

Los investigadores analizaron los genomas de casi 50 muestras de tumor donadas por pacientes con angiosarcoma de Estados Unidos y Canadá y encontraron docenas de genes mutados en diversas formas del cáncer, así como pistas que sugieren que los medicamentos aprobados para otros tipos de cáncer podrían ser útiles en el tratamiento de algunos tipos de angiosarcoma.

Este tipo de cáncer, cuya agresividad es muy alta, puede ocurrir en cualquier parte del cuerpo, pero con mayor frecuencia se produce en la piel, el pecho, el hígado y el bazo.

Es una afección extremadamente rara, con solo 300 casos nuevos cada año en Estados Unidos y su pronóstico generalmente es poco esperanzador.

Los pacientes se encuentran dispersos por todo el país, por lo que hasta ahora no había sido posible realizar grandes estudios para encontrar los fundamentos moleculares de la enfermedad.

$!Estudio con pacientes de angiosarcoma revela posibles nuevas terapias

Los investigadores pusieron en marcha un grupo de trabajo en redes sociales para establecer contacto con personas afectadas y, a través del portal ascproject.org, consiguieron que pacientes de Estados Unidos y Canadá se unieran y aportaran su historial médico y sus muestras de tumor o sangre para pruebas de ADN.

Tan solo 18 meses después, había 338 pacientes registrados, una gran proporción de todos los afectados del país y hoy las inscripciones casi alcanzan las 500 personas.

Los científicos midieron la tasa general de mutación de los tumores y descubrieron que los angiosarcomas de la cabeza, el cuello, la cara y el cuero cabelludo (HNFS por sus siglas en inglés) tienen una mayor carga de mutaciones que los demás.

El patrón de esas mutaciones se relacionó previamente con el daño provocado por la radiación ultravioleta, lo que sugiere que esta exposición al sol podría haber provocado la enfermedad.

Debido a que otros tumores con mutaciones excesivas respondieron al tratamiento con medicamentos conocidos como inhibidores del punto de control inmunitario, los investigadores plantearon la hipótesis de que estos fármacos podrían ayudar a los pacientes con HNFS.

No obstante, los expertos destacaron que se necesita más investigación en este campo para poder demostrar si estos tratamientos no estándares son efectivos.

En la actualidad, se están realizando al menos tres ensayos clínicos que incluyen a pacientes con angiosarcoma a raíz de los datos recabados en este estudio.

Agencia de noticias internacional fundada en Burgos el 3 de enero de 1939. El entonces ministro del Interior, Ramón Serrano Suñer, impulsó la creación de la agencia, en la que participaron activamente: José Antonio Jiménez Arnau, Manuel Aznar Zubigaray y Vicente Gállego.

COMENTARIOS

NUESTRO CONTENIDO PREMIUM