Prótesis ocular permite leer a las personas con ceguera irreversible

+ Seguir en Seguir en Google
Bienestar
/ 20 octubre 2025

Este gran avance es gracias a un equipo internacional de científicos europeos y estadounidenses que durante dos décadas trabajaron en el desarrollo de este dispositivo

SAN FRANCISCO- Científicos utilizaron un implante ocular que ayuda a mejorar la visión de docenas de personas que perdieron la vista como resultado de “la degeneración macular asociada a la edad (DMRE)”, explica en un comunicado la revista Nature

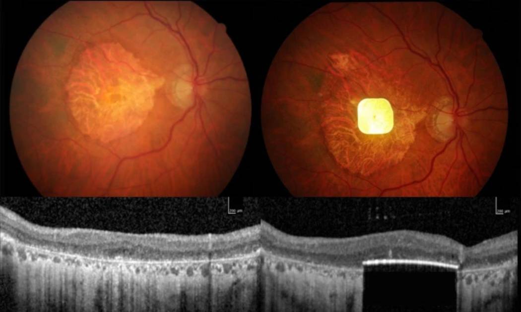
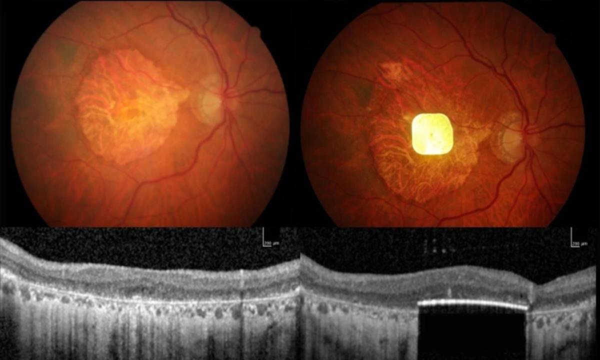
Este nuevo implante, que mide 2 x 2 milímetros y tan solo 30 micrómetros de grosor, se inserta en a través de una intervención quirúrgica “debajo de la retina para reemplazar las células fotosensibles que se han perdido debido a la enfermedad”, añade Nature.

TE PUEDE INTERESAR: ¿Sabías que la apnea del sueño incrementa el riesgo de desarrollar glaucoma?

Gracias a esta prótesis ocular los científicos lograron devolver la visión a personas con ceguera irreversible, que afecta cerca de 5 millones de personas en el mundo.

Este gran avance médico es el resultado de un equipo internacional de científicos europeos y estadounidenses que durante dos décadas trabajaron en el desarrollo de este nuevo dispositivo, que fue probado con éxito en un ensayo clínico con 38 pacientes de 17 centros hospitalarios de 5 países; los resultados de su investigación se publicaron en la revista New England Journal of Medicine.

Los 38 pacientes, de más de 60 años, que padecían la atrofia geográfica por degeneración macular vinculada a la edad, una enfermedad, que hasta ahora era incurable, que va deteriorando de manera lenta la visión. En el momento en que se llevó acabo el ensayo contaban solo con una visión periférica limitada.

Un año después de la implantación del dispositivo, el 80 % de los participantes había obtenido una mejora clínicamente significativa de su visión”, precisa Moorfields Eye Hospital.

Por su parte, Frank Holz, quien es un oftalmólogo de la Universidad de Bonn en Alemania y líder del ensayo describió que en “donde esta retina muerta era un punto ciego total, se restauró la visión”, Holz aseveró que “los pacientes podían leer letras, leer palabras y desenvolverse en su vida diaria”.

No obstante a “algunos incidentes menores relacionados con la cirugía de implantación, el comité de supervisión de seguridad del ensayo consideró que los beneficios del dispositivo superaban sus riesgos”, señala Nature.

En junio pasado, los propietarios de este nuevo dispositivo, la empresa de neurotecnología Science Corporation, que tiene su sede en San Francisco, pidieron les sea otorgada la certificación que posibilita su venta para el mercado europeo, añade el comunicado de Nature.

Creo que este es un estudio emocionante y significativo, bien diseñado y analizado. Brinda esperanza para devolver la visión a pacientes para quienes esto era más ciencia ficción que realidad”, detalló Francesca Cordeiro, quien es una oftalmóloga del Imperial College de Londres.

LA VISTA REGRESA GRACIAS A UN MICROCHIP FOTOVOLTAICO INALÁMBRICO

Conocido como Prima, este es un dispositivo que está compuesto por dos partes, por un lado por un microchip inalámbrico que es implantado en la parte posterior del ojo y, por otro lado, unos lentes de realidad aumentada.

Este microchip que es ultrafino mide 2 por 2 milímetros y su forma es similar a la de una tarjeta SIM; es colocado en el ojo del paciente a través de un procedimiento que se llama vitrectomía, “mediante el cual se extrae el gel vítreo del ojo”, ubicado entre el cristalino y la retina, y se inserta el chip bajo el centro de la retina.

Después, una pequeña cámara, instalada en los lentes de realidad aumentada, logra capturar las imágenes del exterior para luego proyectarlas en tiempo real, mediante luz infrarroja, en el microchip que está instalado en el ojo.

Siendo así, que el microchip que es sensible a esa luz infrarroja proyectada desde las gafas, hace las funciones de los fotorreceptores naturales de los ojos, mismos que han sido dañados debido a la enfermedad.

De esta forma, este novedoso dispositivo es fotovoltaico y solo necesita luz para poder generar estímulos eléctricos, por lo que no requiere alimentación externa como las anteriores prótesis oculares, que requerían algún tipo de “cable” que salía del ojo.

En este sentido, el diseño posibilita a los pacientes poder usar su visión periférica natural junto con la visión central, a través de esta prótesis ocular, ayudándolos a orientarse y desplazarse.

El hecho de que una persona vea simultáneamente con la visión protésica y la periférica es importante porque pueden fusionarlas y aprovechar al máximo la visión”, explica otro de los autores, Daniel Palanker, quien es un investigador de oftalmología de la Universidad estadounidense de Stanford.

ESTAS SON LAS FASES DE LA RECUPERACIÓN DE LA VISTA

Los pacientes que participaron en este estudio iniciaron a usar los lentes de realidad aumentada entre cuatro y cinco semanas después de la implantación del microchip en el ojo.

Si bien, algunos lograron distinguir los patrones de manera inmediata, la agudeza visual de la mayoría de los participantes de este ensaya clínico mejoró después de meses de entrenamiento, algo parecido a otros implantes creados para recuperar la audición.

De los pacientes que consiguieron completar el ensayo de un año, 27 de ellos lograron leer, mientras que 26 mostraron una mejora clínicamente “muy significativa” en la agudeza visual, misma que fue interpretada como la capacidad de leer al menos dos líneas adicionales en una tabla optométrica estándar.

Los voluntarios consiguieron alcanzar una agudeza visual de hasta 20/42..

Los mayoría de los participantes utilizan la prótesis en su vida cotidiana para poder leer libros, así como etiquetas de alimentos o las señales callejeras o de transporte público.

Las gafas posibilitan ajustar el contraste y el brillo y cuentan con un zoom para ampliar hasta 12 veces. De acuerdo a los autores, dos tercios de los paciente que fueron voluntarios expresaron una satisfacción media-alta con el dispositivo.

Diecinueve de las personas que participaron en este ensayo experimentaron efectos secundarios, tales como hipertensión ocular, desgarros en la retina periférica y acumulación de sangre bajo de la retina, sin embargo, las contraindicaciones se resolvieron en un tiempo máximo de dos meses y no pusieron en riesgo la vida del paciente, precisan los autores.

Un ejemplo del éxito de este nuevo dispositivo en su vida cotidiana es Sheila Irvine, que fue una de las pacientes y narró a Moorfields Eye Hospital, que “al principio, me di cuenta de que no podía juzgar las cosas mientras conducía; me golpeaba constantemente contra el pavimento. Me dijeron que tenía degeneración macular relacionada con la edad. Lloré todo el día cuando devolví mi carnet de conducir hace más de 15 años, pero luego me dije: ‘Sigue adelante y sigue adelante con mis cosas’”.

No veo muy bien la televisión, pero todavía la tengo puesta de fondo. No dejo que nada me detenga. Tengo muchos amigos, nos vemos en el bar, vivo sola y quiero seguir siendo independiente. Quería participar en una investigación para ayudar a las generaciones futuras, y mi oculista me sugirió que contactara con Moorfields”. concluyó Irvine.

Mahi Muqit, quien es consultor sénior de vítreorretina en el Hospital Oftalmológico Moorfields y el Instituto de Oftalmología del UCL, describió que “en la historia de la visión artificial, esto representa una nueva era. Los pacientes ciegos pueden recuperar significativamente su visión central, algo nunca antes visto. Recuperar la capacidad de leer supone una mejora significativa en su calidad de vida, les mejora el estado de ánimo y les ayuda a recuperar la confianza y la independencia“, Muqit concluye explicando que “la operación con el chip PRIMA puede ser realizada de forma segura por cualquier cirujano vitreorretiniano capacitado en menos de dos horas; esto es clave para que todos los pacientes ciegos tengan acceso a esta nueva terapia médica para la atrofia geográfica en la DMAE seca”.

Con información de la Agencia de Noticias EFE, Revistas Nature y Moorfields Eye Hospital.

Temas



Localizaciones



Organizaciones



Con experiencia de 15 años laborando en VANGUARDIA, en el área de redacción.

Licenciado en Psicología por la Universidad Intercontinental, maestría en psicoterapia Gestalt, especialidad en Desarrollo Humano. Se especializa en Terapia Gestalt por el Instituto Humanista de Psicoterapia Gestalt. Además, presta sus servicios como psicoterapeuta al programa Touchinglife para empleados de la empresa MAGNA en Saltillo y Ramos Arizpe desde 2010.

NUESTRO CONTENIDO PREMIUM