Da la ciencia un gran paso al descifrar el mapa proteico de la neurodegeneración

+ Seguir en Seguir en Google
Bienestar
/ 15 julio 2025

Gracias a este avance se podrá detectar más temprano y desarrollar tratamientos pata las principales enfermedades neurodegenerativas, entre ellas, el alzhéimer y el párkinson

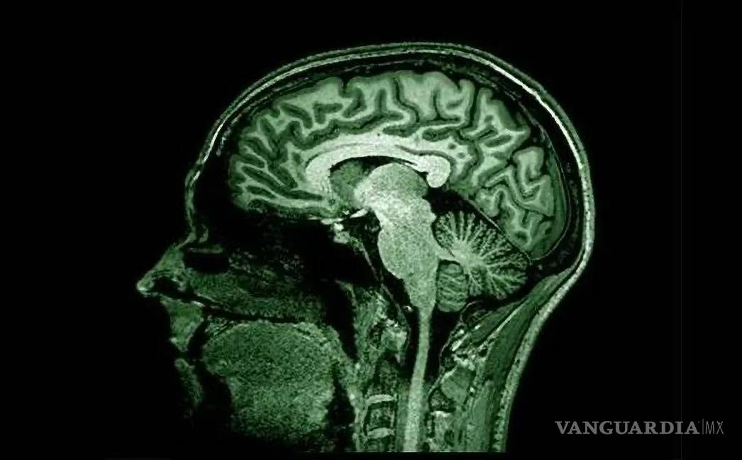
MÉXICO- De acuerdo a la revista científica Nature Medicine, actualmente mas 57 millones de personas en el mundo padecen enfermedades neurodegenerativas, y se vaticina que esta cifra que se duplique cada 20 años.

Sin embargo esta situación puede cambiar, gracias a que la ciencia consiguió dar hoy un gran paso para la detección temprana y el desarrollo de terapias a las que son consideradas como las principales enfermedades neurodegenerativas; el alzhéimer, el párkinson, la demencia frontotemporal y la esclerosis lateral amiotrófica, ELA, dar a conocer una base de datos de biomarcadores proteicos de estos padecimientos.

TE PUEDE INTERESAR: BioEmu, un modelo de IA creado por Microsoft para predecir las formas que puede adoptar una proteína

Hasta ahora, precisa el artículo “The Global Neurodegeneration Proteomics Consortium: biomarker and drug target discovery for common neurodegenerative diseases and aging” publicado en Nature Medicine y en Nature Aging, no existen hay curas para estas enfermedades y opciones de tratamiento continúan siendo limitadas “debido a la heterogeneidad de la enfermedad, las prolongadas fases preclínicas y prodrómicas, la escasa comprensión de los mecanismos de la enfermedad y los desafíos diagnósticos”.

Hasta hace un par de años no creíamos que la sangre fuera capaz de capturar lo que pasaba en el cerebro”, explica Carlos Cruchaga, quien es uno de los investigadores que lidera este descubrimiento, que está repartido en cinco artículos científicos, en una entrevista concedida a la Agencia de Noticias EFE.

Los autores precisan que la “identificación de nuevos biomarcadores” es fundamental para pode mejorar “la detección temprana, el pronóstico, la estadificación y la subtipificación de estas afecciones. Los estudios moleculares de alta dimensión en biofluidos (“ómicas”) ofrecen una promesa para el descubrimiento escalable de biomarcadores, pero los desafíos en el ensamblaje de conjuntos de datos grandes y diversos obstaculizan el progreso”.

Con el objetivo de lograr lo anterior, el Consorcio Global de Proteómica de Neurodegeneración (GNPC), que es una asociación público-privada, creo “uno de los conjuntos de datos proteómicos armonizados más grandes del mundo”, indica Nature Medicine, y añade que este Incluye cerca de “250 millones de mediciones únicas de proteínas de múltiples plataformas de más de 35,000 muestras de biofluidos (plasma, suero y líquido cefalorraquídeo) aportadas por 23 socios, junto con datos clínicos asociados que abarcan la enfermedad de Alzheimer (EA), la enfermedad de Parkinson (EP), la demencia frontotemporal (DFT) y la esclerosis lateral amiotrófica (ELA). Este conjunto de datos es accesible para los miembros de GNPC a través del AD Workbench de la Alzheimer’s Disease Data Initiative, un entorno seguro basado en la nube”.

En opinión de los autores, esta hazaña refleja el poder de la colaboración internacional, así como el intercambio de datos y la “ciencia abierta” para conseguir apresurar “el descubrimiento en la investigación de la neurodegeneración”.

Hasta el día de hoy, los investigadores habían logrado encontrar marcadores de estas enfermedades en el líquido cefalorraquídeo, sin embargo, la gran novedad hallada en esta nuevo estudio es la comprobación de que las enfermedades neurodegenerativas analizadas modifican los niveles de proteínas en sangre, lo que posibilita identificar los marcadores específicos.

Cruchaga detalla que “esos biomarcadores nos llevarán a encontrar pacientes antes de que desarrollen la patología y, con ello, a poder cambiar sus proteínas por las de un perfil sano”.

Esta es la primera vez que somos capaces de comparar el alzhéimer, el párkinson y la demencia frontotemporal desde el punto de vista del perfil proteico, ver lo que tienen en común y aislar lo específico de cada una de ellas”, concluye Cruchaga.

Con información de la Agencia de Noticias EFE, Nature Medicine y Global Consortium on Proteomics of Neurodegeneration.

Temas



Localizaciones



Con experiencia de 15 años laborando en VANGUARDIA, en el área de redacción.

Licenciado en Psicología por la Universidad Intercontinental, maestría en psicoterapia Gestalt, especialidad en Desarrollo Humano. Se especializa en Terapia Gestalt por el Instituto Humanista de Psicoterapia Gestalt. Además, presta sus servicios como psicoterapeuta al programa Touchinglife para empleados de la empresa MAGNA en Saltillo y Ramos Arizpe desde 2010.

NUESTRO CONTENIDO PREMIUM