Descubren un posible tratamiento de la metástasis en cáncer
COMPARTIR
Científicos del Instituto Sloan Kettering de Nueva York descubren que la capacidad de los cánceres para hacer metástasis depende de su capacidad para cooptar las vías naturales de reparación de heridas, lo que abre una vía para su posible tratamiento.
Los científicos del Instituto Sloan Kettering de Nueva York, liderado por el oncólogo español Joan Massegué, descubrieron que la capacidad de los cánceres para hacer metástasis depende de su capacidad para cooptar las vías naturales de reparación de heridas, lo que abre una vía para su posible tratamiento.
El adelanto científico, publicado en la revista Nature Cancer y que fue comunicado también por el propio Sloan Kettering Cancer Center, proporcionan un marco novedoso para pensar sobre la metástasis y cómo tratarla.
La metástasis, que es la propagación del cáncer a otras regiones del cuerpo, es responsable del 90 % de las muertes por cáncer.
Sin embargo, no se sabe mucho sobre lo que hace que las células cancerosas sean capaces de reproducirse.
Este estudio de investigadores del Sloan Kettering Institute concluye que las células iniciadoras de metástasis emplean un truco para propagarse: cooptan las capacidades naturales de curación de heridas del cuerpo.
"Ahora entendemos la metástasis como la regeneración del tejido equivocado -el tumor- en el lugar equivocado, los órganos vitales distantes", dice Joan Massagué, director del Instituto Sloan Kettering y el director de la investigación sobre un asunto en el que lleva 30 años investigando.
Nuevo paso contra la metástasis del cáncer gracias a una investigación de científicos del Instituto Sloan Kettering de Nueva York, liderados por el oncólogo español Joan Massagué, publicada en la revista Nature Cancer https://t.co/FaUf23CVqz pic.twitter.com/HnGrxffKHg
— EFEsalud (@efesalud) 15 de enero de 2020
Enorme logro contra el #cancer gracias a los avances en #Metastasis del dr. #JoanMassagué y su equipo @LabMassague como @KarunaMDPhD del @sloan_kettering
— Jose Angel Abad (@desdemanhattan) 15 de enero de 2020
Gracias también a @drenriquegrande por valorar el paso en nuestra crónica.
Nada más importante. Salvarán miles de vidas. pic.twitter.com/uHIsRJWsrf
Anteriormente había indicios de que los cánceres podrían utilizar vías de curación de heridas para apoyar su crecimiento. En la década de 1980, el investigador Harold Dvorak denominó a los tumores "heridas que no sanan". Pero los nuevos hallazgos presentan la primera imagen detallada de cómo funciona este proceso en el nivel de células y moléculas.
Aunque la metástasis es mortal, no es algo que las células cancerosas puedan hacer fácilmente. Para propagarse, las células cancerosas deben separarse con éxito de sus vecinas, atravesar las capas de tejido que las separan de la circulación, nadar o arrastrarse a una nueva ubicación en el cuerpo a través de la sangre o el líquido linfático, salir de estos vasos, luego echar raíces y comenzar a crecer en el nueva ubicación.
En cada paso de este proceso, la mayoría de las células cancerosas sueltas mueren. Menos del 1 % de todas las células cancerosas que se desprenden de un tumor finalmente formarán metástasis medibles.
"Una vez que las células cancerosas aprenden a sobrevivir al estrés de en un ambiente extraño, es muy difícil deshacerse de ellas", dice Karuna Ganesh , médico-científica del Programa de Farmacología Molecular de SKI y una de las autoras del artículo. "Son una entidad completamente diferente del tumor en el que comenzaron".
Una excelente noticia y un gran paso adelante en la lucha contra el cáncer: ‘El científico español Joan Massagué descifra el origen de la metástasis del cáncer’.
— Inés Arrimadas (@InesArrimadas) 15 de enero de 2020
¡Enhorabuena a Joan Massagué y a todo su equipo! ?????? @LabMassague https://t.co/1ssS06pHHY
Una de las mejores noticias que podía tener nuestra sociedad
— Irene Lozano (@lozanoirene) 16 de enero de 2020
Esperanza en el futuro gracias al resultado de su investigación
Una investigación liderada por el oncólogo español Joan Massagué abre la vía a un posible tratamiento de metástasis en el cáncerhttps://t.co/iiEUIbBd5R
El científico español Joan Massagué abre una vía para el tratamiento de la metástasis https://t.co/8wntN3u4Xw a través de @laSextaTV
— Josef Ajram Tares (@josefajram) 15 de enero de 2020
La mejor noticia del día ha venido de la mano de la ciencia y la investigación!! El oncólogo Joan #Massagué y su equipo han descifrado el origen de la metastasis. Un gran avance en la lucha contra el cáncer @LabMassague ????https://t.co/DiUOyrRi5z
— Pedro Casares (@pedro_casares) 15 de enero de 2020
Ganesh y sus colegas querían entender qué permite a algunas células sobrevivir a este viaje estresante. Se centraron en una molécula llamada L1CAM, que estudios previos del laboratorio de Massagué habían demostrado que es necesaria para que numerosos tipos de células cancerosas hagan metástasis con éxito en los órganos.
Los tejidos sanos normales no suelen producir L1CAM, pero los cánceres avanzados sí lo hacen. Lo que desencadena exactamente la L1CAM ha sido hasta ahora un misterio.
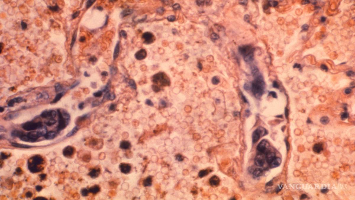
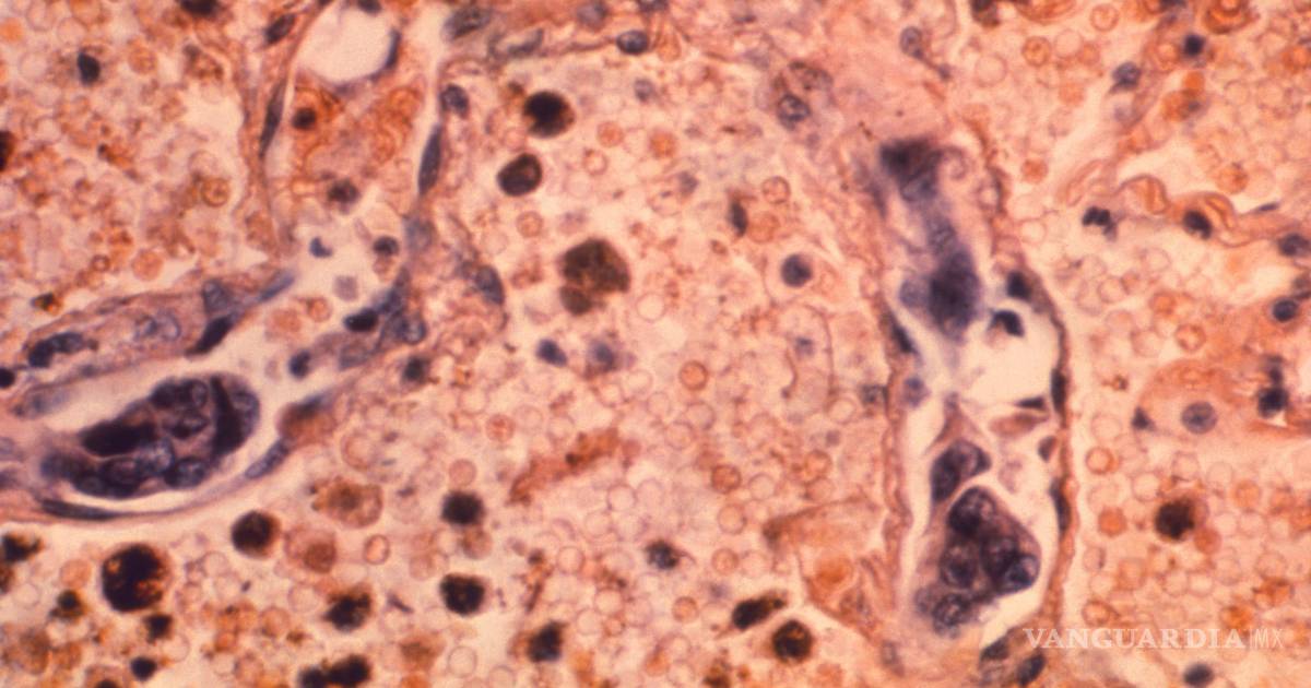
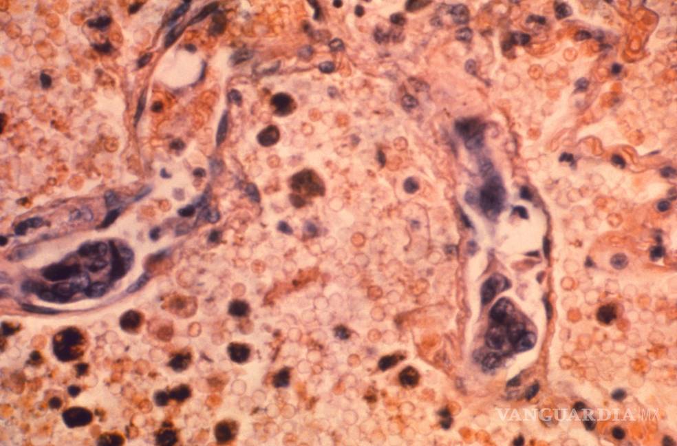
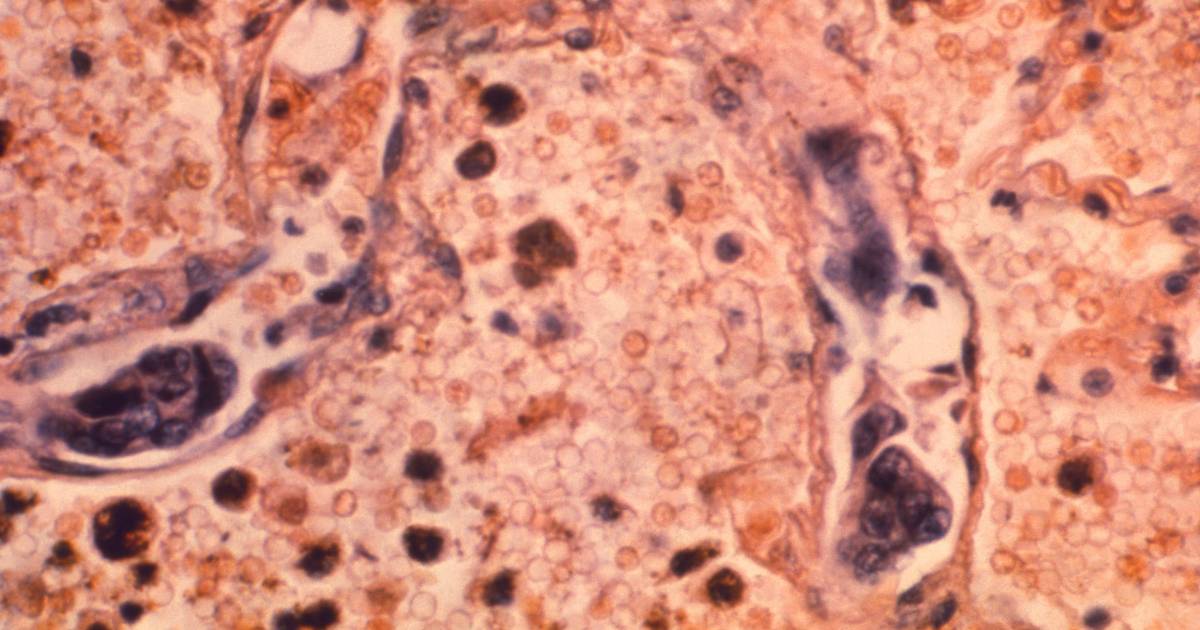
Al observar los tejidos tumorales humanos con un microscopio, fue claro para los investigadores que dividir las células con L1CAM era más común en áreas donde se rompía una capa epitelial, es decir, herida. Esto llevó a los científicos a preguntarse si se requiere L1CAM para la reparación normal de heridas, como ocurre en el intestino después de la colitis. Usando un modelo de colitis en ratones, descubrieron que, de hecho, este era el caso.
En definitiva, el avance concreta que las metástasis no se derivan de mutaciones genéticas sino por una reprogramación de las células que les permite regenerar creando metástasis.