Un marcapasos cerebral ayuda a una mujer con depresión crónica en Estados Unidos. Podría llegar a más personas

+ Seguir en Seguir en Google
Bienestar
/ 23 febrero 2024

El tratamiento les da a los pacientes impulsos eléctricos dirigidos, como si se tratara de un marcapasos cerebral

NUEVA YORK- Emily Hollenbeck vivía con una depresión profunda y recurrente que ella comparaba con un agujero negro, donde la gravedad se sentía tan fuerte y sus miembros tan pesados que apenas podía moverse. Sabía que la enfermedad podía matarla. Sus padres se habían quitado la vida.

Estaba dispuesta a probar algo extremo: que le implantaran electrodos en el cerebro como parte de una terapia experimental.

TE PUEDE INTERESAR: Terapia génica permite que un niño de 11 años escuche por primera vez

Los investigadores dicen que el tratamiento, denominado estimulación cerebral profunda (ECP), podría ayudar a la larga a muchos de los casi tres millones de estadounidenses que, como ella, padecen una depresión que se resiste a otros tratamientos. La ECP está aprobada para enfermedades como el mal de Parkinson y la epilepsia, y muchos médicos y pacientes esperan que pronto se generalice su uso para la depresión.

El tratamiento les da a los pacientes impulsos eléctricos dirigidos, como si se tratara de un marcapasos cerebral. Las investigaciones recientes son cada vez más prometedoras y hay más en marcha, aunque dos grandes estudios que no demostraron ninguna ventaja de la ECP en el tratamiento de la depresión detuvieron temporalmente los avances en las investigaciones, y algunos científicos siguen expresando su preocupación ante este nuevo enfoque.

$!Emily Hollenbeck vivía con una depresión profunda y recurrente que comparaba con un agujero negro.

Mientras tanto, la Administración de Alimentos y Medicamentos de Estados Unidos (FDA por sus siglas en inglés) ha aceptado acelerar la revisión de la solicitud de Abbott Laboratories para utilizar sus dispositivos de ECP en la depresión que no cede con otros tratamientos.

Al principio estaba impresionada porque el concepto parece muy intenso. Es una cirugía del cerebro. Tienes cables incorporados en el cerebro”, explica Hollenbeck, que participa en una investigación en curso en el centro médico Mount Sinai West. “Pero también sentí que hasta ese momento había probado de todo, y estaba desesperada por obtener una respuesta”.

“NADA MÁS FUNCIONABA”

Hollenbeck padeció síntomas de depresión cuando era niña mientras crecía en la pobreza y, de vez en cuando, sin hogar. Pero su primer gran ataque ocurrió en la universidad, tras el suicidio de su padre en 2009. Otro le sobrevino durante una estancia con la organización Teach for America, que la dejó casi inmovilizada y con la preocupación de perder su trabajo de docente y sumirse de nuevo en la pobreza. Fue a dar al hospital.

Acabé teniendo una especie de patrón intermitente”, explica. Tras mejorar un poco con medicamentos durante cierto tiempo, volvía a recaer.

TE PUEDE INTERESAR: Científicos mexicanos lanzan ‘Pablo’, una aplicación para vigilancia epidemiológica en tiempo real

Consiguió doctorarse en psicología, incluso después de perder a su madre en el último año de la carrera. Pero el agujero negro siempre volvía para arrastrarla a su interior. A veces, dice, pensaba en quitarse la vida.

Dijo que había agotado todas las opciones, incluida la terapia electroconvulsiva, cuando un médico le habló de la ECP hace tres años.

Nada más funcionaba”, señala.

Se convirtió en una de sólo pocos cientos de personas tratadas con ECP para la depresión.

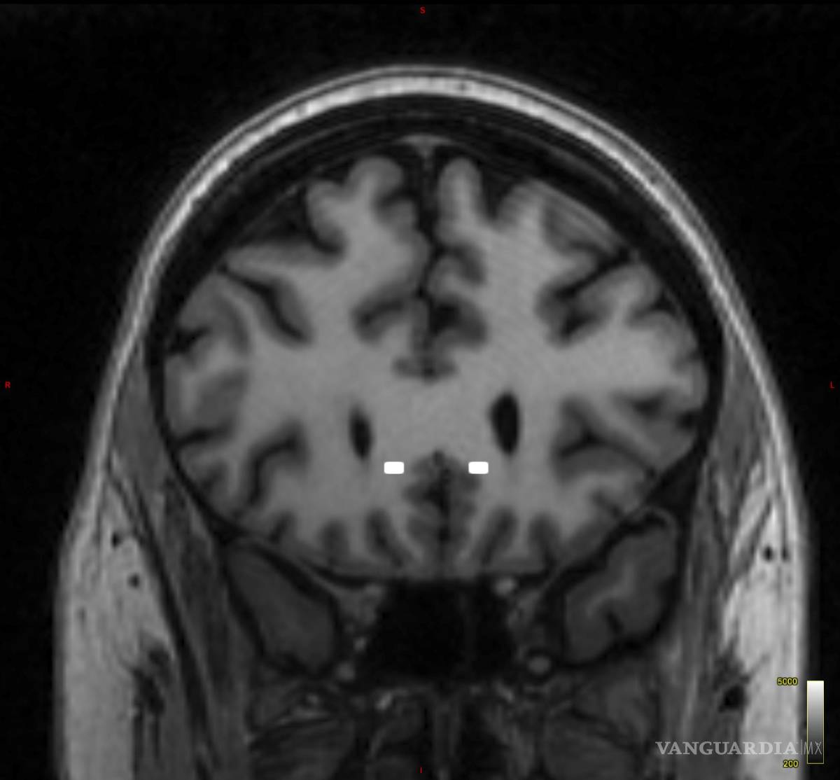
$!Imagen de escaneo cerebral que muestra los sitios seleccionados para los electrodos implantados en la paciente Emily Hollenbeck.

Hollenbeck se sometió a la cirugía cerebral bajo un sedante, pero despierta. El doctor Brian Kopell, que dirige el Centro de Neuromodulación de Mount Sinai, le colocó unos delgados electrodos metálicos en una región del cerebro llamada corteza cingulada subcallosa, que regula el comportamiento emocional y está implicada en los sentimientos de tristeza.

Los electrodos están conectados mediante un cable interno a un dispositivo colocado bajo la piel de su pecho, que controla la cantidad de estimulación eléctrica y suministra pulsos constantes de bajo voltaje. Hollenbeck lo llama “Prozac continuo”.

Los médicos dicen que la estimulación ayuda porque la electricidad habla el lenguaje del cerebro. Las neuronas se comunican mediante señales eléctricas y químicas.

En los cerebros normales, explica Kopell, la actividad eléctrica reverbera sin obstáculos en todas las áreas, en una especie de danza. En la depresión, esa danza se atasca en los circuitos emocionales del cerebro. La ECP parece “desatascar el circuito”, dijo, permitiendo al cerebro hacer lo que haría normalmente.

Hollenbeck dijo que el efecto fue casi inmediato.

El primer día después de la operación ella empezó a sentir que se le quitaba ese estado de ánimo negativo, esa pesadez”, explica su psiquiatra, el doctor Martijn Figee. “Recuerdo que me dijo que, por primera vez en años, podía disfrutar de la comida vietnamita para llevar y saborearla de verdad. Empezó a decorar su casa, que había estado completamente vacía desde que se había mudado a Nueva York”.

$!Serie de imágenes de escaneo cerebral PET que muestran cambios en la paciente Emily Hollenbeck con terapia de estimulación cerebral profunda.

Para Hollenbeck, el cambio más profundo fue volver a encontrar placer en la música.

Cuando yo estaba deprimida, no podía escuchar música. Sonaba y sentía como si estuviera escuchando la estática de la radio”, dijo. “Entonces, un día soleado de verano, caminaba por la calle escuchando una canción. Simplemente sentí este ánimo, este: ‘¡Oh, quiero caminar más, quiero ir y hacer cosas!’. Y me di cuenta de que estoy mejorando”.

Lo único que desea es que la terapia hubiera existido para sus padres.

HISTORIA DEL TRATAMIENTO

El camino hacia este tratamiento se remonta a hace dos décadas, cuando la neuróloga Helen Mayberg dirigió las primeras y prometedoras investigaciones.

Pero siguieron algunos contratiempos. Estudios de gran tamaño iniciados hace más de una docena de años no mostraron diferencias significativas en las tasas de respuesta de los grupos tratados y los no tratados. La doctora Katherine Scangos,psiquiatra de la Universidad de California, campus de San Francisco, que también investiga la ECP y la depresión, citó un par de razones: el tratamiento no era personalizado, y los investigadores analizaron los resultados en cuestión de semanas.

Algunas investigaciones posteriores demostraron que los pacientes con depresión obtenían un alivio estable y duradero a partir de la ECP cuando se les observaba durante años. En general, la ECP para la depresión se vincula a tasas medias de respuesta del 60% en distintos objetivos cerebrales, indicó un estudio de 2022.

$!La Dra. Helen Mayberg, directora fundadora del Nash Family Center for Advanced Circuit Therapeutics, habla con Emily Hollenbeck en su oficina en Nueva York.

En la actualidad, los tratamientos en los que varios equipos efectúan pruebas tienen un diseño mucho más personalizado según el caso. El equipo de Mount Sinai es uno de los más destacados de Estados Unidos en la investigación de la ECP para la depresión. Allí, un experto en imágenes neurológicas utiliza imágenes cerebrales para localizar el punto exacto en el que Kopell debe colocar los electrodos.

Tenemos una plantilla, un plano de dónde vamos a ir exactamente”, dijo Mayberg, pionera en la investigación de la ECP y directora fundadora del Centro Familiar Nash para Terapéutica de Circuitos Avanzados de Mount Sinai. “El cerebro de cada persona es un poco distinto a los otros, al igual que los ojos de la gente están un poco más separados o una nariz es un poco más grande o más pequeña”.

Otros equipos de investigación también adaptan el tratamiento a los pacientes, aunque sus métodos son ligeramente distintos. Scangos y sus colegas estudian diversos objetivos en el cerebro y administran la estimulación sólo cuando es necesaria para síntomas graves. Dijo que la mejor terapia podría terminar siendo una combinación de enfoques.

$!El psiquiatra Dr. Martijn Figee muestra una tableta utilizada para programar la cantidad de estimulación eléctrica cerebral profunda administrada a los pacientes.

Mientras los equipos siguen trabajando, Abbott pondrá en marcha un amplio ensayo clínico este año, antes de una posible decisión de la FDA.

El campo está avanzando con bastante rapidez”, dijo Scangos. “Tengo esperanzas de que obtendremos aprobación en poco tiempo”.

Pero algunos médicos se muestran escépticos, y ponen de relieve la posibilidad de complicaciones como hemorragias, derrames cerebrales o infecciones tras la cirugía.

El doctor Stanley Caroff, catedrático emérito de psiquiatría de la Universidad de Pensilvania, dijo que los científicos aún desconocen las vías o mecanismos exactos del cerebro que producen la depresión, lo cual hace que sea difícil elegir el lugar que se va a estimular. También es difícil seleccionar a los pacientes adecuados para la ECP, y existen tratamientos aprobados y eficaces contra la depresión.

Creo que, desde el punto de vista psiquiátrico, la ciencia no está ahí”, dijo sobre la ECP para la depresión.

SEGUIR ADELANTE

Hollenbeck reconoce que la ECP no ha sido una cura total; sigue tomando medicamentos contra la depresión y necesita cuidados constantes.

Hace poco visitó a Mayberg en su consulta y le habló de la recuperación. “No se trata de ser feliz todo el tiempo”, le dijo la doctora. “Se trata de hacer avances”.

Eso es lo que estudian ahora los investigadores: cómo hacer un seguimiento de los progresos.

$!Una muestra de un dispositivo similar a un marcapasos, utilizado para la terapia de estimulación cerebral profunda.

Una investigación reciente de Mayberg y otros publicada en la revista Nature mostró que es posible obtener una “lectura” de cómo se encuentra una persona en un momento dado. Al analizar la actividad cerebral de pacientes a los que se les aplicó ECP, los investigadores hallaron un patrón único que refleja el proceso de recuperación. Esto les proporciona una forma objetiva de observar cómo mejoran las personas, y distinguir entre la depresión inminente y las fluctuaciones típicas del estado de ánimo.

Los científicos están confirmando estos hallazgos utilizando dispositivos de ECP más nuevos en un grupo de pacientes entre los que se encuentra Hollenbeck.

Ella y otros participantes hacen su parte principalmente en casa. Les proporciona registros cerebrales a los investigadores con regularidad conectándose a una tableta, colocando un mando a distancia sobre el dispositivo similar a un marcapasos que lleva en el pecho y enviando los datos. Responde a las preguntas que surgen sobre cómo se siente. A continuación graba un video que se analizará en función de aspectos como la expresión facial y el habla.

De vez en cuando, Hollenbeck entra en el “Q-Lab” de Mount Sinai, un entorno inmersivo donde los científicos realizan investigaciones cuantitativas recopilando todo tipo de datos, incluida la forma en que se mueve en un bosque virtual o hace círculos en el aire con los brazos. Al igual que muchos otros pacientes, ahora que está mejor mueve los brazos más deprisa.

Los datos de las grabaciones y las visitas se combinan con otra información, tales como acontecimientos en su vida, para registrar su evolución. Esto ayuda a los médicos en su toma de decisiones, como incrementar su dosis de electricidad, algo que hicieron en una ocasión.

Una mañana reciente, Hollenbeck hizo a un lado su collar y su cabello para revelar las cicatrices de la cirugía de ECP que tiene en el pecho y la cabeza. Para ella, son marcas de lo lejos que ha llegado.

Se mueve por la ciudad, pasea por el parque y visita bibliotecas, que fueron un refugio en la infancia. Ya no le preocupa que los retos normales de la vida le provoquen una depresión aplastante.

“A veces el estrés es bastante extremo, pero soy capaz de ver y recordar, incluso a nivel corporal, que voy a estar bien”, dice.

Si no me hubiera sometido a la ECP, estoy bastante segura de que hoy no estaría viva”, añadió.

Por Laura Ungar, The Associated Press.

AP (Associated Press) es una agencia de noticias de Estados Unidos fundada en 1846. Es una cooperativa propiedad de sus periódicos, y estaciones de radio y televisión contribuyentes en los Estados Unidos, que tanto aportan historias como utilizan el material escrito por la misma.

La agencia produce contenido multimedia a medios y audiencias en varios idiomas sobre noticias de última hora hasta datos electorales y conflictos internacionales.

NUESTRO CONTENIDO PREMIUM