Éste es el daño que la cocaína podría causarle a tu cerebro

+ Seguir en Seguir en Google
Vida
/ 16 agosto 2019

La Leucoencefalopatía es una afección en el cerebro en la que la materia blanca se ve severamente dañada

El abuso de sustancias tóxicas podría general daños muy graves e irreparables en tu salud. Así lo comprobó un hombre británico de 45 años a quien sus padres trasladaron a un hospital después de encontrarlo confundido y con un corte en la frente, después de haber consumido cocaína por última vez. 

Los doctores descubrieron que sus pupilas estaban dilatadas y reactivas a la luz; además, el paciente no cooperaba, no podía realizar tareas simples y no seguía órdenes. 

El diagnostico fue malo: el hombre padecía Leucoencefalopatía, un padecimiento en el cerebro que fue provocado por el consumo de cocaína.

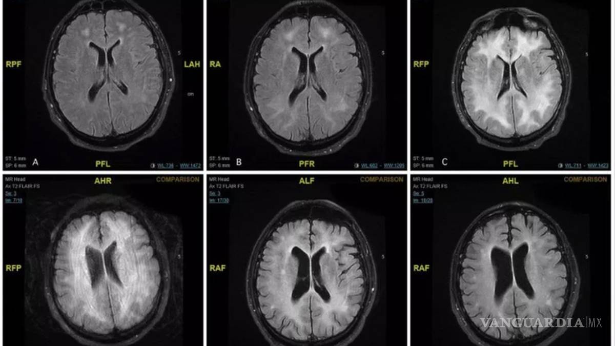
Los médicos realizaron resonancias magnéticas que desmostaron daños severos en la materia blanca del cerebro, se encarga de controlar el aprendizaje, la resolución de problemas, la marcha, el equilibrio y el estado de ánimo.

"Es un trastorno raro que puede causar una discapacidad significativa", explicó la doctora Ylenia Abdilla, que trató al hombre no identificado, y que publicó el informe médico en el British Medical Journal.

Además, informó sobre la enfermedad: 

"El pronóstico es malo: la afección progresa rápidamente y con frecuencia conduce a la muerte. Raramente se ha informado que resulte en una recuperación completa, como en nuestro caso". 

Sin embargo, y contra todo pronóstico, el hombre se recuperó tras un tratamiento de esteroides y un intercambio de plasma y anticuerpos. Además, fue trasladado a un centro de rehabilitación en el que supero su adcción. 

Abdilla mencionó que la intenció de publicar el informe médico y las resonancias fue crear consciencia sobre las adicciones y el consumo de esta sustancia, que tan sólo en Inglaterra se ha duplicado en los últimos años. 

Temas



Milenio Diario, conocido también como Milenio Noticias, es un periódico mexicano. Se fundó en la ciudad de Monterrey, capital del estado de Nuevo León. El medio cubre los hechos noticiosos más relevantes de CDMX, Monterey, Jalisco, Estado de México, Laguna, Tamaulipas, Puebla, León e Hidalgo.

NUESTRO CONTENIDO PREMIUM