Médicos extraen un frasco de perfume del recto de un paciente en Honduras

Internacional
/ 2 octubre 2018

El portavoz del hospital estatal hondureño, Miguel Osorio, explicó a periodistas que el paciente, un hombre de 34 años, cuyo nombre no reveló, llegó este lunes al nosocomio con "dolores abdominales y dificultad para caminar", por lo que los médicos optaron por hacerle una exploración.

Tegucigalpa.- Médicos del Hospital Escuela Universitario de Tegucigalpa extrajeron un frasco de perfume del recto de un paciente que llegó al nosocomio con un traumatismo anal y que, ya fuera de peligro, será dado de alta en los próximos días, informó hoy una fuente oficial.

El portavoz del hospital estatal hondureño, Miguel Osorio, explicó a periodistas que el paciente, un hombre de 34 años, cuyo nombre no reveló, llegó este lunes al nosocomio con "dolores abdominales y dificultad para caminar", por lo que los médicos optaron por hacerle una exploración.

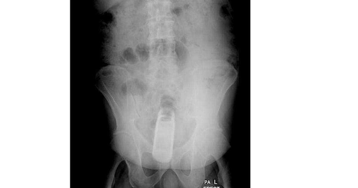
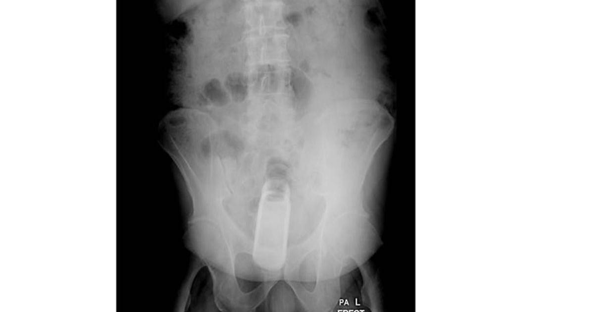
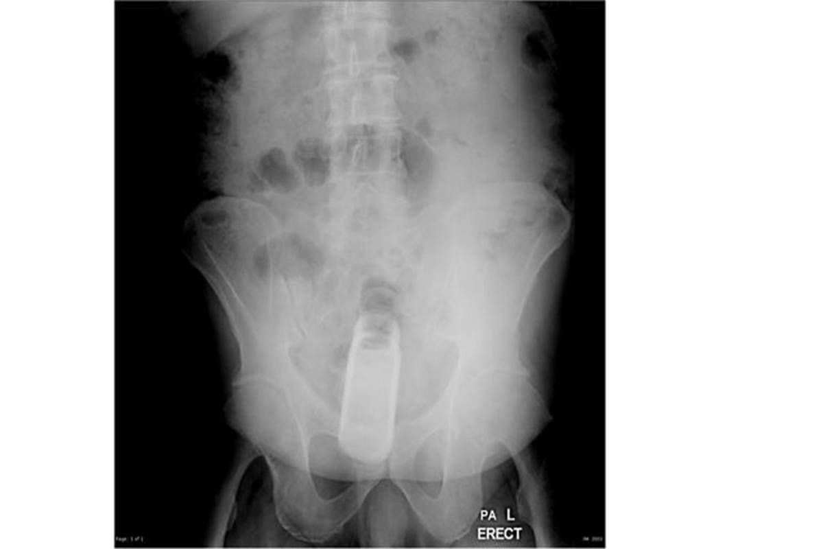
Los médicos interrogaron al paciente y luego le realizaron una radiografía que reveló que el hombre tenía un frasco en el recto, añadió.

Posteriormente, los médicos formaron un equipo de especialistas para extraerle en el quirófano el frasco que estaba dentro de un condón, precisó el portavoz del hospital.

Agregó que el paciente ahora "se encuentra estable y fuera de peligro", pero permanecerá en la sala de observación "para vigilar su estado ante la sospecha de una perforación en el intestino".

 

Según medios locales de prensa, el hombre le dijo a los médicos que el frasco de perfume se lo introdujo su pareja al parecer durante una fantasía sexual, extremo que no confirmó ni desmintió Osorio.

El portavoz del nosocomio, sorprendido todavía, aseguró que nunca se había registrado un caso como este en ese hospital estatal de la capital hondureña. 

Localizaciones



Agencia de noticias internacional fundada en Burgos el 3 de enero de 1939. El entonces ministro del Interior, Ramón Serrano Suñer, impulsó la creación de la agencia, en la que participaron activamente: José Antonio Jiménez Arnau, Manuel Aznar Zubigaray y Vicente Gállego.

COMENTARIOS

Selección de los editores