Pulmones de enfermos de COVID-19 quedan más dañados que los de fumadores, alertan

+ Seguir en Seguir en Google
Internacional
/ 18 enero 2021

Incluso los pacientes con coronavirus que son asintomáticos enfrentarán secuelas en su salud tras el virus, advierte Brittany Bankhead-Kendall

A pesar de que la pandemia de coronavirus ha afectado la salud de millones de personas alrededor del mundo en el último año, aún se desconoce las secuelas que tendrá la enfermedad en las personas que la lograron superar. Así lo demuestra una cirujana estadunidense, quien reveló el peligro que representa el virus para los pulmomes. 

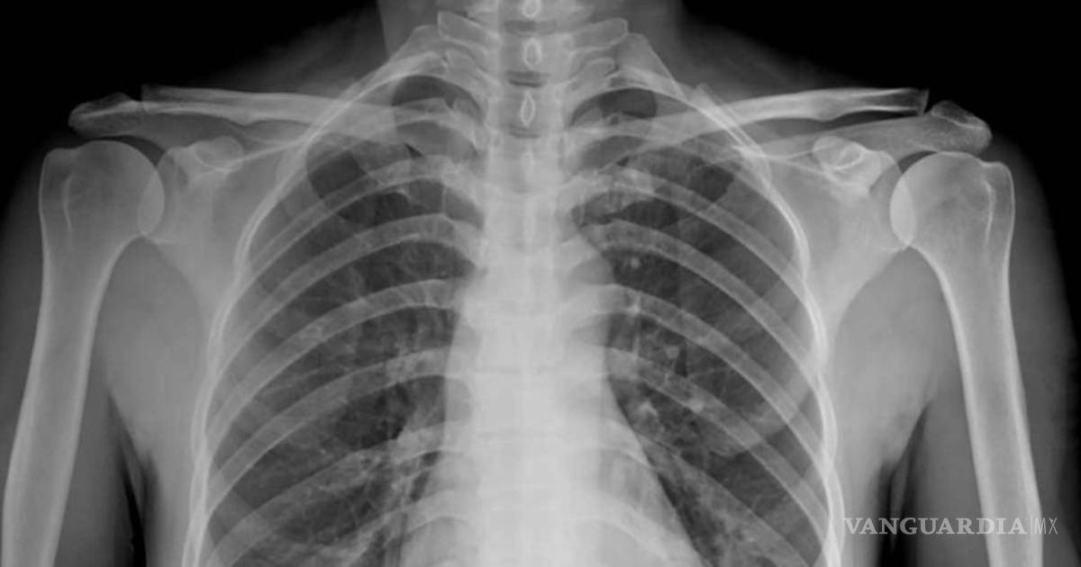
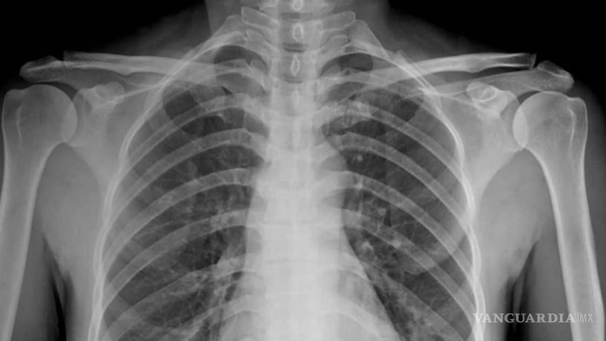
Para ello, la especialista comparó radiografías de los pulmones de pacientes normales, con covid y fumadores y el resultado es alarmante, pues, según compartió en su cuenta de Twitter, “los pulmones post-covid se ven peor que cualquier tipo de pulmón de fumador que hayamos visto. Y colapsan. Y se coagulan. Y la falta de aire persiste y no para”, afirmó Brittany Bankhead-Kendall, profesora asistente de la Universidad Técnica de Texas.

“Todo el mundo está muy preocupado por la mortalidad y es terrible y es horripilante, pero para todos los sobrevivientes y las personas que dieron positivo, esto va a ser un gran problema (en el futuro)”, aseguró al canal CBS Dallas-Fort Worth.

$!Pulmones de enfermos de COVID-19 quedan más dañados que los de fumadores, alertan

Asintomáticos también sufren daño en los pulmones

La aterradora advertencia de la médico, quien ha tratado a miles de pacientes con covid, es que entre el 70 y 80 por ciento de los infectados asintomáticos experimentan un daño similar a sus pulmones.

“Todavía hay personas que dicen ‘Estoy bien. No tengo ningún problema’, y cuando les haces una radiografía de tórax, se ve realmente mal”, dijo.

Los pulmones de un paciente sano deberían verse limpios y con mucho espacio negro, que es básicamente aire, mientras un pulmón de un fumador tiene líneas blancas, como una especie de neblina, que son indicativas de cicatrización y congestión.

$!Pulmones de enfermos de COVID-19 quedan más dañados que los de fumadores, alertan

Sin embargo, los pacientes post covid, muestran pulmones que parecen estar casi completamente blancos, en otras palabras, severamente dañados.

“Incluso si no sientes problemas ahora, el hecho de que eso esté en la radiografía de tu tórax es un indicativo de que posiblemente tengas problemas más adelante”, explicó Bankhead-Kendall.

Por tal motivo, la doctora insiste en que es necesario tomar todas las medidas necesarias para evitar contagios, pues las consecuencias en el cuerpo pueden ser irreversibles, aún para los asintomáticos.

“No es algo que puedas ignorar. Esto no es algo que quieras tener. Porque incluso si sobrevives, es posible que te quedes con algunas complicaciones graves que te hagan muy difícil volver a tu funcionamiento inicial”, puntualizó.

Temas



Localizaciones



Somos un medio de comunicación digital e impreso con cinco décadas de historia; nos hemos consolidando como uno de los sitios de noticias más visitados del Noreste de México.

Como medio multiplataforma, nos distinguimos por ofrecer contenidos confiables y de alta calidad, abarcando una amplia gama de temas, desde política y estilo de vida hasta artes y cultura. Además, ofrecemos artículos de análisis, entretenimiento y recursos útiles a través de formatos innovadores en texto, fotografía y video, que permiten a nuestros lectores estar siempre bien informados con las noticias más relevantes del día.

Nos enorgullece tener un equipo editorial compuesto por periodistas especializados en Derechos Humanos, Deportes y Artes.

Selección de los editores