El niño se dibujaba con puntos en la cabeza: La inocente manera de representar su problema

+ Seguir en Seguir en Google
Vida
/ 5 julio 2017

Un niño de siete años quien se dibujaba a él mismo con puntos negros, que no tenían nada que ver con su rostro. Al ver la frecuencia de esto, sus padres le preguntaron la razón, él respondió que representaba su dolor.

Emre es un niño de siete años quien se dibujaba a él mismo con puntos negros, que no tenían nada que ver con su rostro. Al ver la frecuencia de esto, sus padres le preguntaron la razón, él respondió que representaba su dolor continuo dolor de cabeza. Cuando sus padres decidieron llevarlo al doctor para que lo revisara, éste les aseguró que no tenía nada.

Su mamá Tiffany no se conformó y lo llevó con otros especialistas, sin embargo la respuesta siempre fue la misma. A pesar de esto el pequeño fue anotado en una lista de espera para realizarle un escáner cerebral. Para entonces Emre empezó a tener cambios en su personalidad, se enojaba por cosas insignificantes por mucho tiempo.

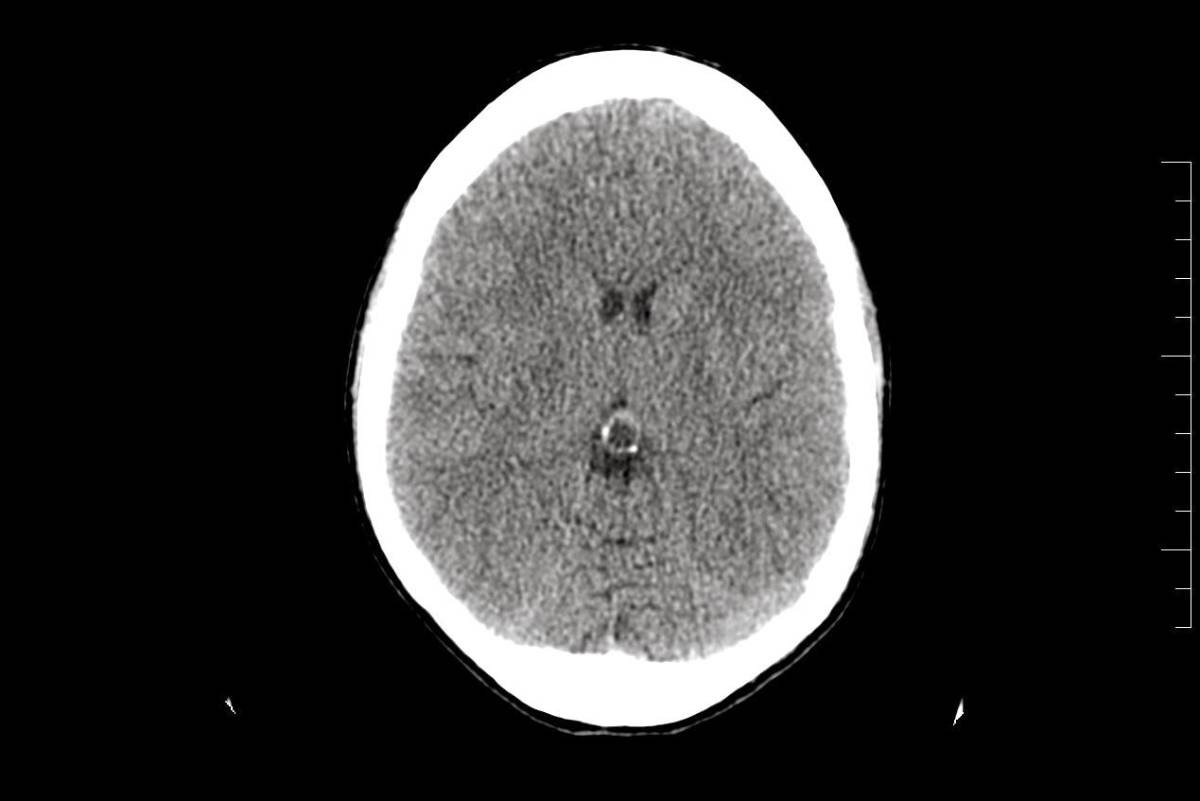
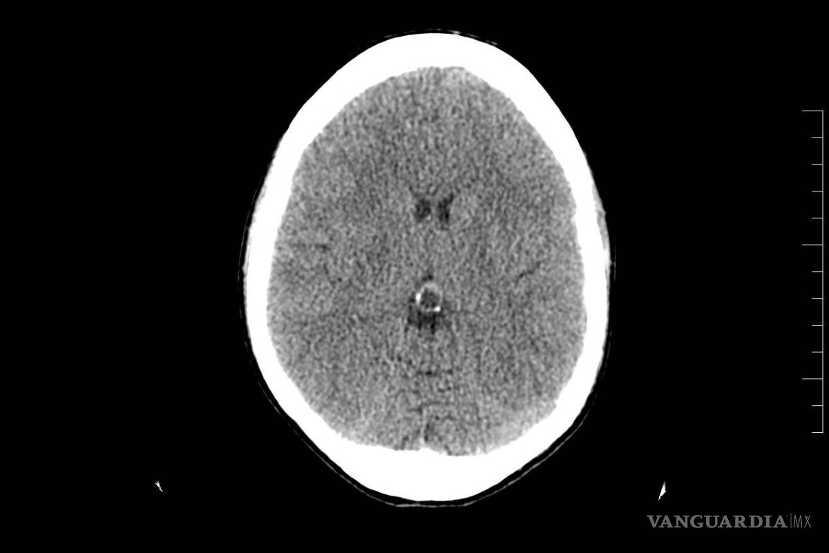
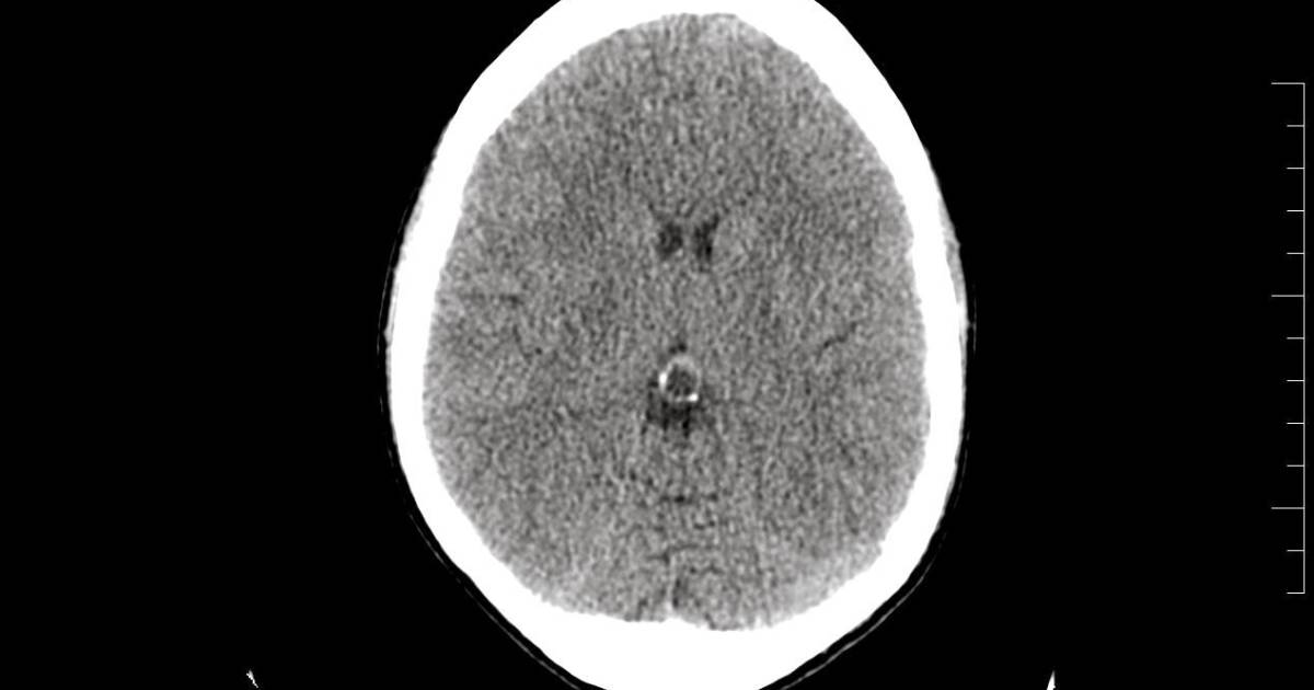
Cuando por fin le hicieron los estudios, éstos revelaron un pequeño tumor benigno en la glándula pineal, pero los doctores aseguraron que no tenía relación con su dolencia. Poco después lo regresaron al hospital debido al incremento de dolor en la cabeza acompañada de vómito. Como no podían operar el tumor lo sometieron a una punción lumbar.

El cerebro es uno de los órganos más importantes y delicados que el ser humano puede tener, ya que es el que controla funciones vitales como la memoria y el aprendizaje, los sentidos (vista, oído, olfato, gusto y tacto), así como las emociones. De igual manera es el encargado de mandar las otras partes del cuerpo como los músculos, órganos y vasos sanguíneos.

El crecimiento anormal del tejido interior del cráneo es un tumor cerebral, el cual puede aparecer con células cancerosas, es decir un tumor maligno y si no presenta este tipo de células se trata de un tumor benigno.

Síntomas más comunes de tumores
Los síntomas pueden varias de acuerdo a la ubicación del tumor, de la presión que se ejerza en el cerebro y a su tamaño. Tomando lo anterior en cuenta, los síntomas pueden ser:

a. Mayor Presión Intercraneal (PIC). Dolor de cabeza, náuseas, vómitos (más común por la mañana), irritabilidad, cambios de personalidad, depresión, somnolencia

b. Parte frontal del encéfalo. Cambios de visión, dificultad para hablar, parálisis o debilidad en la mitad del cuerpo o el rostro, convulsiones, cambios de personalidad, pérdida de memoria a corto plazo, mayor presión arterial y problemas de comunicación.

c. Tronco del encéfalo. Dolores de cabeza, cambios en la visión o visión doble, convulsiones, problemas endocrinos (diabetes o problemas de regulación hormonal), cambios respiratorios, parálisis de nervios/músculos del rostro, o de la mitad del cuerpo, cambios de personalidad, caminata torpe, cambios respiratorios, mayor presión intercraneal y pérdida auditiva.

d. Cerebelo. Dolor de cabeza, problemas para caminar, movimientos musculares no coordinados, vómitos (sin náusea) y mayor presión intercraneal.
De acuerdo a estadísticas adaptadas de la American Cancer Society (Sociedad Estadounidense de Cáncer) y del St. Jude Children´s Research Hospital, cada año se diagnostican 4,000 tumores del Sistema Nervioso Central (SNC), en niños menores de 20 años.

Para detectar cualquier problema en la salud de los hijos es necesario estar atentas siempre de lo que hacen, porque en muchas ocasiones los niños se acostumbran a situaciones o dolencias que podrían ser un síntoma. Detectarlos a tiempo implica hacer la diferencia en la mayoría de las veces.

Temas



The Deseret News es un periódico publicado en Salt Lake City, Utah, Estados Unidos. Es el periódico diario más antiguo publicado continuamente en Utah y tiene la mayor circulación dominical en el estado y la segunda circulación diaria más grande detrás de The Salt Lake Tribune.

NUESTRO CONTENIDO PREMIUM