COVID-19 puede dañar la placenta y provocar muerte fetal

+ Seguir en Seguir en Google
Bienestar
/ 11 febrero 2022

Según una nueva investigación el COVID-19 puede invadir y destruir la placenta y con esto, provocar la muerte del feto en las mujeres infectadas.

Aunque es un resultado poco común en cualquier embarazo, las mujeres que están enfermas de COVID-19 tienen un mayor riesgo. Las autoridades piensan que la vacunación podría ayudar a prevenir estos casos.

Investigadores de 12 países examinaron el tejido de la placenta y de la autopsia de 64 bebés que nacieron muertos y cuatro recién nacidos que murieron poco después del parto. En todos estos casos fueron mujeres que no estaban vacunadas y que tuvieron COVID-19 durante su embarazo.

Con este estudio se consolida la evidencia de informes de casos y corrobora que es el daño a la placenta, más que la infección del feto, la causa probable de muchos mortinatos relacionados con el COVID-19, explicó el doctor Jeffery Goldstein, patólogo de la Facultad de Medicina Feinberg de la Universidad Northwestern, y que no participó en el estudio.

La investigación se publicó en la revista científica Archives of Pathology & Laboratory Medicine.

TE PUEDE INTERESAR:

Crup: uno de los efectos del Ómicron en niños y niñas, indica pediatra

Por su parte, la evidencia previa advierte sobre las probabilidades de que se produzca un mortinato son más altas en las mujeres embarazadas con COVID-19, en especial de la variante delta.

El doctor David Schwartz, autor principal del estudio y patólogo de Atlanta, especifica que hay otras infecciones que pueden infiltrarse en la placenta y provocar la muerte fetal, que por lo general está infectando y dañando al feto.

Un ejemplo reciente de esta situación es el virus del zika.

Tanto Schwartz como sus colegas querían saber si ese era el caso de las muertes fetales en mujeres con COVID-19; lo que encontraron fue casi lo contrario, ya que era la placenta la que estaba infectada y se destruía en gran medida.

TE PUEDE INTERESAR:

Observan por primera vez cómo la membrana del SARS-CoV-2 estalla con algunos enjuagues bucales

Muchos de estos casos tenían más del 90% de la placenta destruida, lo que resulta muy aterrador”, aseguró Schwartz.

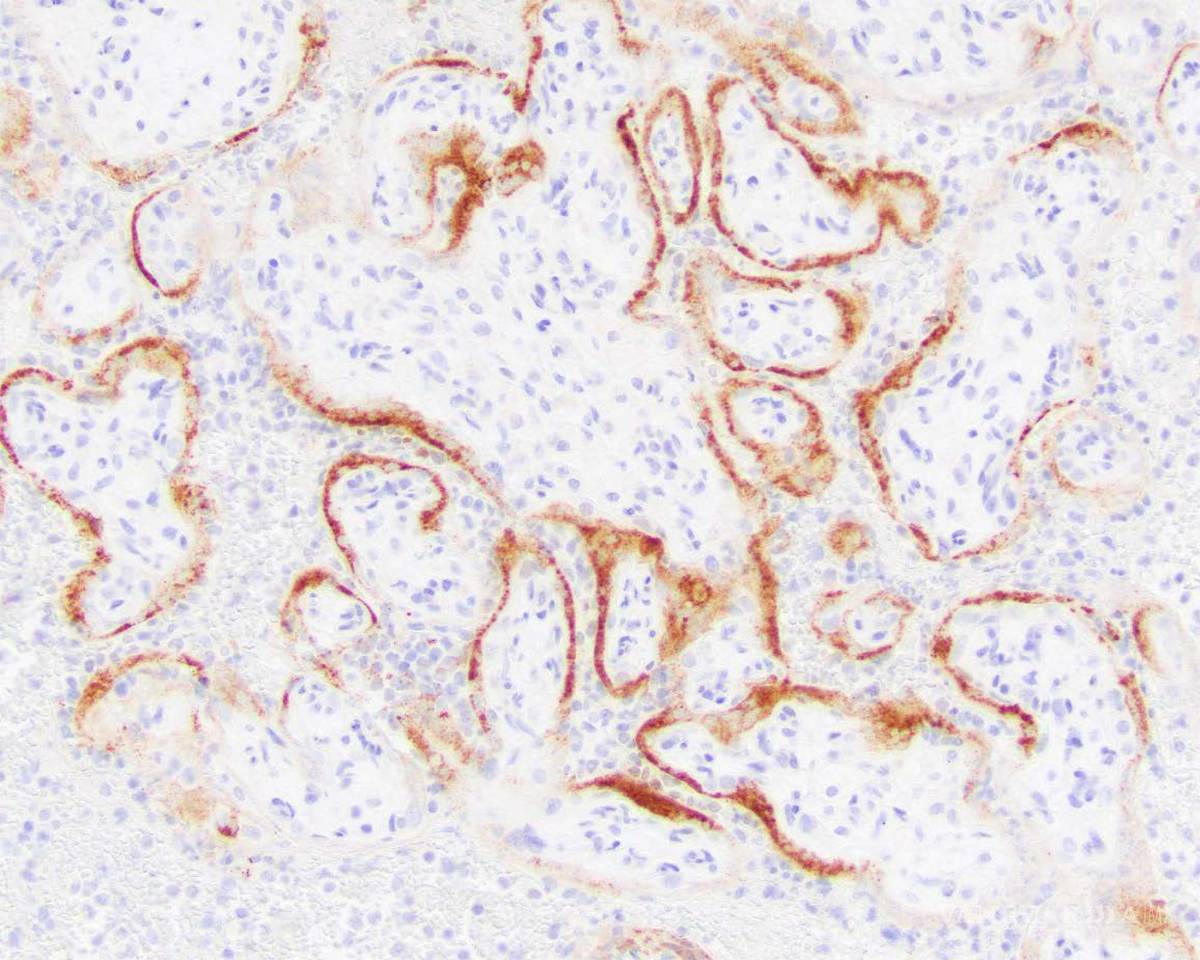
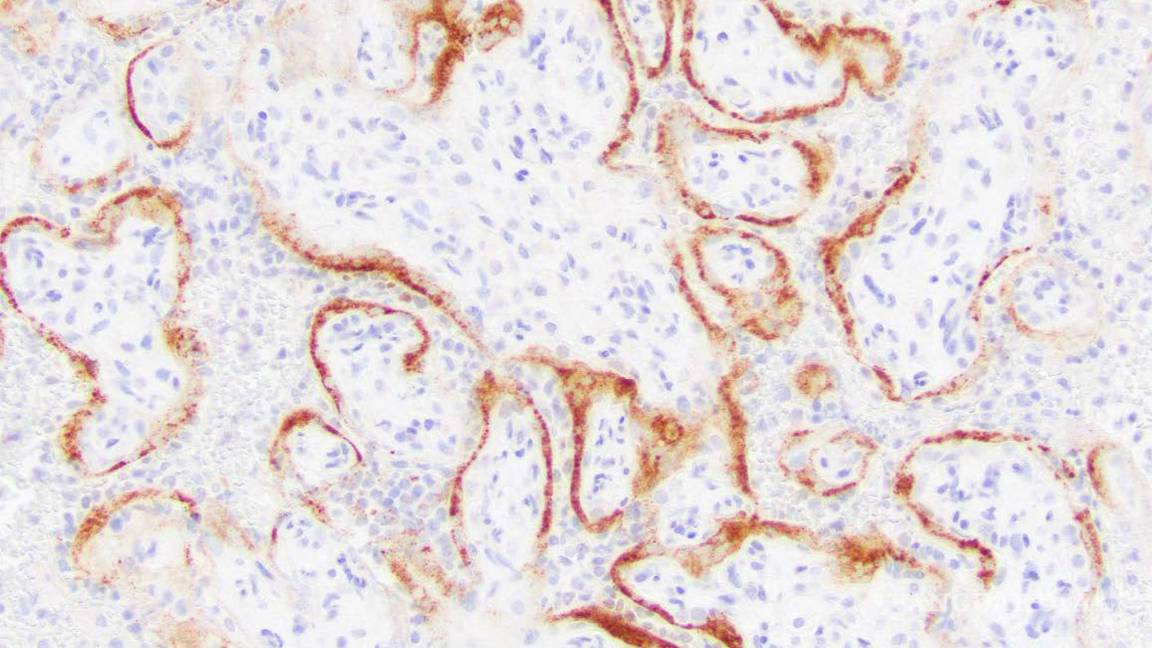
El tejido normal de la placenta es de un tono rojizo saludable y esponjoso. Los especímenes que fueron estudiaron estaban rígidos, y con decoloraciones oscuras de tejido muerto. Existe la posibilidad que el virus SARS-CoV-2 causante del COVID-19 llegara a la placenta a través del torrente sanguíneo, adhiriéndose a las células susceptibles y provocando depósitos de proteínas y una forma inusual de inflamación que bloqueó el flujo sanguíneo y el oxígeno y que a su vez originó la muerte del tejido de la placenta y la asfixia, según los investigadores.

TE PUEDE INTERESAR:

Pfizer inicia la prueba clínica de su vacuna contra la variante ómicron

$!Células placentarias de un mortinato con COVID-19. AP/College of American Pathologists/Archives of Pathology and Laboratory Medicine

Según un informe realizado en noviembre por los Centros para el Control y la Prevención de Enfermedades de Estados Unidos se descubrió que, entre las mujeres embarazadas estadounidenses infectadas por el COVID-19, aproximadamente uno de cada 80 partos fue un mortinato, esto significa, la pérdida de un feto en cualquier momento después de las 20 semanas de gestación. Mientras que en las mujeres no infectadas, la tasa fue de 1 de cada 155.

Así mismo este estudio de los CDCP describe que las muertes fetales ocurrieron en promedio a las 30 semanas. Un embarazo normal dura alrededor de 40 semanas.

Por último, aún no esta claro si la variante ómicron del COVID-19 también aumenta el riesgo de muerte fetal debido a que este último estudio en el doctor David Schwartz que es el autos principal se realizó antes de que surgiera dicha variante.

Con información de la Agencia The Associated Press.

Con experiencia de 15 años laborando en VANGUARDIA, en el área de redacción.

Licenciado en Psicología por la Universidad Intercontinental, maestría en psicoterapia Gestalt, especialidad en Desarrollo Humano. Se especializa en Terapia Gestalt por el Instituto Humanista de Psicoterapia Gestalt. Además, presta sus servicios como psicoterapeuta al programa Touchinglife para empleados de la empresa MAGNA en Saltillo y Ramos Arizpe desde 2010.

NUESTRO CONTENIDO PREMIUM