Sorprendente hallazgo revela cuál es la causa de enfermedad de Huntington, un trastorno cerebral fatal

+ Seguir en Seguir en Google
Bienestar
/ 16 enero 2025

Los científicos están desentrañando el misterio de qué es lo que desencadena la enfermedad de Huntington, un trastorno hereditario devastador y mortal que aparece en la plenitud de la vida, provocando la descomposición y muerte de células nerviosas en partes del cerebro

NUEVA YORK- La mutación genética vinculada a la enfermedad de Huntington ha sido conocida desde hace tiempo, pero los científicos no habían comprendido cómo las personas podían tener la mutación desde el nacimiento, pero no desarrollar problemas hasta más tarde en la vida.

Nuevos estudios muestran que la mutación es, sorprendentemente, inofensiva durante décadas. Pero crece silenciosamente hasta convertirse en una mutación más grande, hasta que eventualmente cruza un umbral, genera proteínas tóxicas y mata las células en las que se ha expandido.

TE PUEDE INTERESAR: Los alimentos que su cerebro necesita “los fermentados”

El enigma en nuestro campo ha sido: ¿Por qué tienes un trastorno genético que se manifiesta más tarde en la vida si el gen está presente desde la concepción?”, dijo el médico Mark Mehler, quien dirige el Instituto de Trastornos Cerebrales y Regeneración Neural en el Albert Einstein College of Medicine y no participó en la investigación. Calificó la investigación como un estudio “hito” y dijo que “aborda muchos de los problemas que han plagado el campo durante mucho tiempo”.

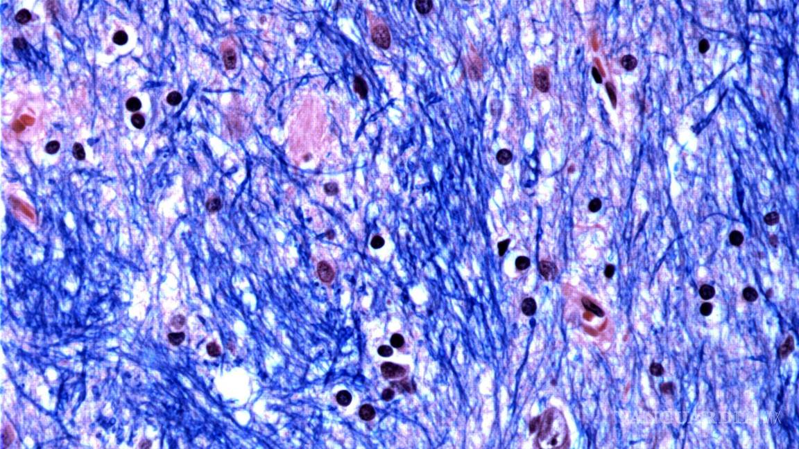
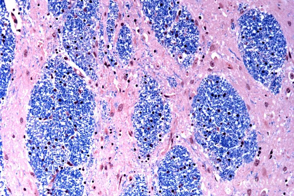
La muerte de las células cerebrales eventualmente conduce a problemas con el movimiento, el pensamiento y el comportamiento. Los síntomas de Huntington, que incluyen movimiento involuntario, marcha inestable, cambios de personalidad y juicio deteriorado, comienzan típicamente entre los 30 y 50 años, empeorando gradualmente durante 10 a 25 años.

Científicos del Broad Institute de MIT y Harvard, el Hospital McLean en Massachusetts y la Facultad de Medicina de Harvard estudiaron tejido cerebral donado por 53 personas con Huntington y 50 sin ella, analizando medio millón de células.

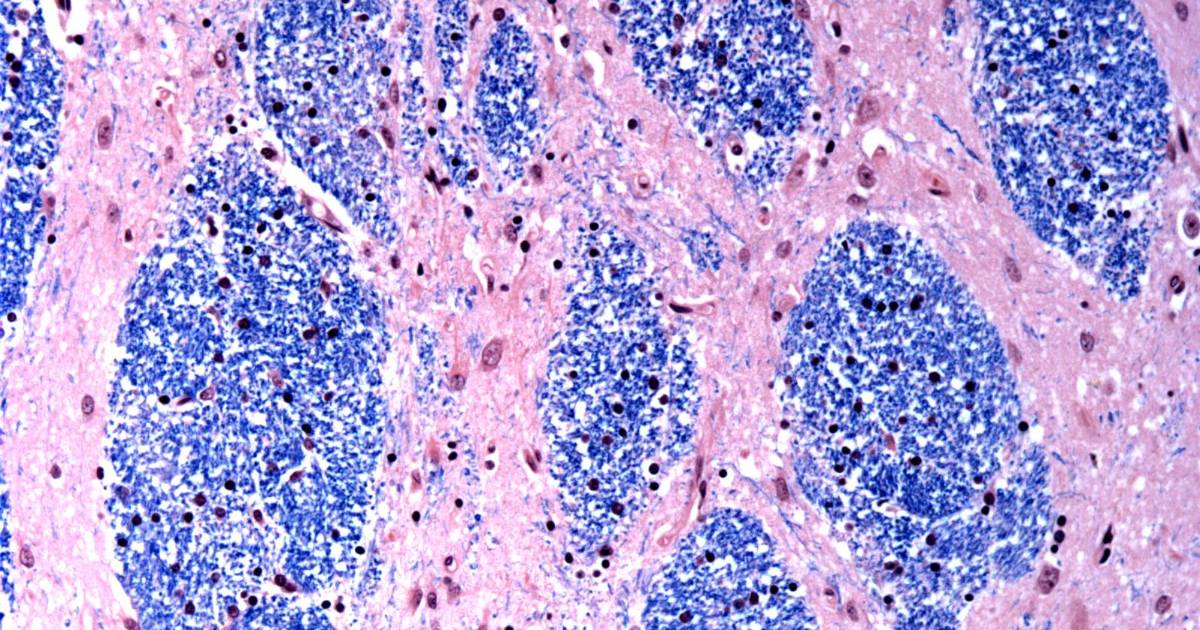
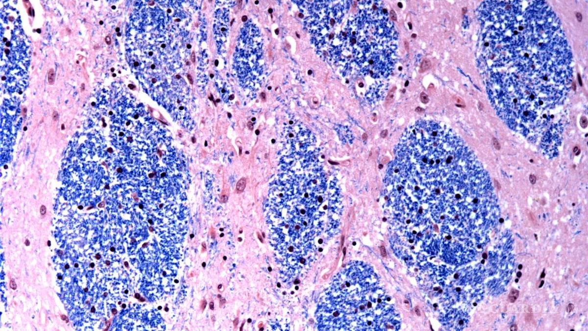
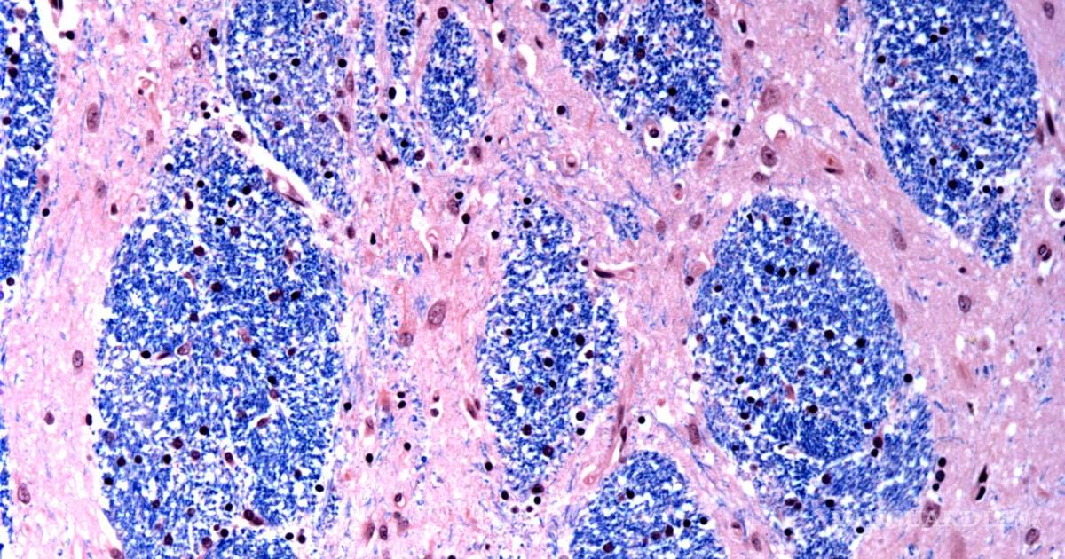
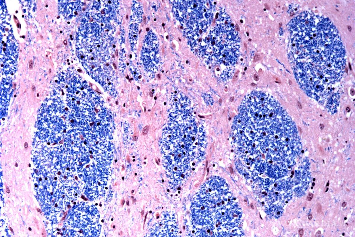
$!Los científicos están desentrañando el misterio de qué es lo que desencadena la enfermedad de Huntington, un trastorno hereditario devastador y mortal.

Se centraron en la mutación de Huntington, que involucra un tramo de ADN en un gen particular donde una secuencia de tres letras, CAG, se repite al menos 40 veces. En personas sin la enfermedad, esta secuencia se repite sólo de 15 a 35 veces. Descubrieron que los tramos de ADN con 40 o más “repeticiones” se expanden con el tiempo hasta que tienen cientos de CAGs. Una vez que los CAGs alcanzan un umbral de aproximadamente 150, ciertos tipos de neuronas enferman y mueren.

TE PUEDE INTERESAR: Las enfermedades ‘infantiles’ podrían comenzar a afectar a los adultos

Los hallazgos “fueron realmente sorprendentes, incluso para nosotros”, afirmó Steve McCarroll, miembro de Broad y coautor principal del estudio, que fue publicado el jueves en la revista Cell. El estudio fue parcialmente financiado por el Instituto Médico Howard Hughes, una organización que también apoya al departamento de Salud y Ciencia de The Associated Press.

El equipo de investigación estimó que los tramos de repetición crecen lentamente durante las primeras dos décadas de vida, luego la tasa se acelera dramáticamente cuando alcanzan alrededor de 80 CAGs.

Cuanto más largas sean las repeticiones, más temprano en la vida ocurrirá el inicio”, explicó la investigadora en neurociencia Sabina Berretta, una de las autoras principales del estudio.

Los investigadores reconocieron que algunos científicos inicialmente fueron escépticos cuando los resultados se compartieron en conferencias, ya que trabajos anteriores encontraron que las expansiones de repetición en el rango de 30 a 100 CAGs eran necesarias, pero no suficientes, para causar Huntington. McCarroll estuvo de acuerdo en que 100 o menos CAGs no son suficientes para desencadenar la enfermedad, pero dijo que su estudio encontró que las expansiones con al menos 150 CAGs sí lo son.

Los investigadores esperan que sus hallazgos puedan ayudar a los científicos a encontrar maneras de retrasar o prevenir la condición incurable, que afecta a unas 41,000 personas en Estados Unidos y actualmente se trata con medicamentos para manejar los síntomas.

Recientemente, medicamentos experimentales diseñados para reducir los niveles de la proteína producida por el gen mutado de Huntington han tenido dificultades en los ensayos. Los nuevos hallazgos sugieren que esto se debe a que pocas células tienen la versión tóxica de la proteína en cualquier momento dado.

Ralentizar o detener la expansión de las repeticiones de ADN podría ser una mejor manera de abordar la enfermedad, dijeron los investigadores.

Aunque no hay garantías de que esto evite la enfermedad de Huntington, McCarroll dijo que “muchas empresas están comenzando o expandiendo programas para intentar hacer esto”.

Por Laura Ungar, The Associated Press.

Temas



AP (Associated Press) es una agencia de noticias de Estados Unidos fundada en 1846. Es una cooperativa propiedad de sus periódicos, y estaciones de radio y televisión contribuyentes en los Estados Unidos, que tanto aportan historias como utilizan el material escrito por la misma.

La agencia produce contenido multimedia a medios y audiencias en varios idiomas sobre noticias de última hora hasta datos electorales y conflictos internacionales.

NUESTRO CONTENIDO PREMIUM