¿Qué es la blastomicosis? Infección provocada por brote de hongos más grande de la historia en Estados Unidos

+ Seguir en Seguir en Google
Noticias
/ 15 abril 2023

Aunque existen medicamentos para tratarla, no hay vacunas para prevenir su contagio

Más de cien trabajadores contagiados y un deceso es el resultado que dejó un moho infeccioso, nacido en una fábrica de papel, en Michigan, Estados Unidos.

Debido a su fuerza, las autoridades sanitarias establecen que se trata del brote de hongos más grande en la historia de dicho país; de hecho, fue el pasado 2010 cuando el mismo ejemplar infectó a 55 personas y, el día de hoy, alerta a los expertos, pues cuando apenas sumaba 10 casos por año, ahora se están reportando más de 100 en un mes.

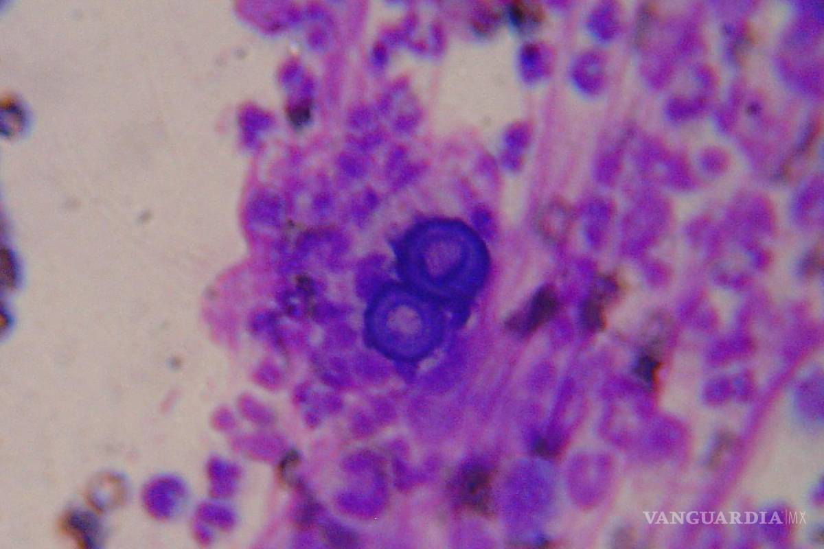
Se trata del blastomicosis o enfermedad de Gilchrisft, que se adquiere tras la inhalación del hongo Blastomyces dermatitidis, cuyo hogar son los suelos húmedos y materia descompuesta como madera o papel.

TE PUEDE INTERESAR: Millones de personas en México, sin esquema completo de vacunación antiCOVID

¿QUÉ ES BLASTOMYCES DERMATITIDIS?

Es un género de hongos que incluye varias especies patógenas para los seres humanos y animales como cánidos, felinos, roedores, equinos y pinnípedos; se localiza principalmente vegetales y madera en descomposición.

También crece y sobrevive en suelos húmedos o arenosos, especialmente cuando tienen alto contenido en materia orgánica, como los ubicados en los bordes de los ríos, lagos y en zonas donde se acumula agua dulce, además, en áreas con abundante lluvia y clima templado.

Si distribución geográfica consiste de Estados Unidos, en los estados centrales y del sureste, y Canadá. Además, en entidades de América Central, Sudamérica, África, Siberia, Europa, Arabia Saudita, Israel, Japón y la India.

Según el Instituto Nacional de Seguridad y Salud en el Trabajo (INSST), el hongo se transmite a través de esporas, cuyas emisiones penetran el organismo por vía respiratoria, así, tras la inhalación de éstas, se causa una infección fúngica sistémica llamada blastomicosis.

TE PUEDE INTERESAR: ¡Cuidado!... Si te pica, este insecto puede transmitir 6 peligrosas enfermedades a los humanos

Asimismo, el instituto señala que raramente se transmite de persona a persona o de animales a personas, sin embargo, se da por transmisión sexual, transmisión vertical de madre a hijo o por la mordedura de perros infectados.

La blastomicosis puede ser grave y afectar los pulmones, la piel, los huesos y otros órganos, y puede ser fatal en personas con sistemas inmunológicos debilitados. Entre los principales síntomas de la blastomicosis, destacan tos (a veces con sangre), fiebre, sudores nocturnos, dolor de músculos y articulaciones, pérdida de peso y fatiga extrema.

El tratamiento apenas consiste en medicamentos antifúngicos, que se venden con prescripción médica, como los que contienen itraconazol. Empero, los casos más graves requerirán aplicaciones intravenosas de anfotericina B. Su diagnóstico se obtiene a través de una prueba de laboratorio específica, a partir de muestras de sangre u orina.

Expertos señalan que erradicar por completo la infección, necesita de hasta un año del uso de medicamentos, en algunos casos.

EL CASO

En Estados Unidos, la compañía sueca donde se originó el brote, tendrá qué permanecer varias semanas cerrada, para llevar a cabo una fumigación intensa y erradicar el hongo, con tal de evitar más contagios.

TE PUEDE INTERESAR: Reportan primera muerte por gripe aviar H3N8 en China, según OMS

Relatan que el primer caso se presentó durante el mes de febrero, sin embargo, la empresa dueña del inmueble, Billerud, se tomó un mes para cerrar la compañía. Luego, para el mes de abril, ya se habían confirmado 21 casos confirmados y 76 probables en Estados Unidos.

Hasta el momento, no se ha confirmado cuál fue la fuente de la infección fúngica que ocasionó el contagio, y autoridades señalan que pudo darse tras la aspiración de las esporas del hongo.

Temas



Localizaciones



Actualmente, se desempeña como Editor Web en temas de movimientos sociales, nacional e internacional. Inició su experiencia periodística en esta casa editorial.

Lic. en Letras Españolas por la Universidad Autónoma de Coahuila. Cuenta con un diplomado en “Categoría de Género y Vindicaciones Políticas de las Mujeres”, otorgado por la Universidad Iberoamericana de Torreón, la Comisión de Derechos Humanos del Estado de Coahuila e INCIDE Femme; otro en “Mujeres en las pantallas”, otorgado por la Academia Interamericana de Derechos Humanos. Asimismo, participó como ponente en el II Congreso Internacional de Humanidades: Horizontes y desafíos en la investigación interdisciplinaria, donde recibió un reconocimiento por la Universidad Autónoma de Nuevo León.

Selección de los editores