Drag queen Genn Taft denuncia accidente en Uber Moto que le puede dejar sin caminar bien

+ Seguir en Seguir en Google
Show
/ 15 noviembre 2025

La drag queen y creador de contenido Genn Taft denunció que sufrió un accidente grave en un Uber Moto tras que el conductor se quedara dormido en Periférico

El creador de contenido y drag queen Genn Taft, reconocido en la escena artística de la Ciudad de México, dio a conocer que sufrió un accidente mientras viajaba en un servicio de Uber Moto, incidente que le provocó lesiones graves y consecuencias económicas significativas.

A través de un hilo publicado en la red social X, relató que el conductor aparentemente se quedó dormido mientras circulaban sobre el Periférico, lo que derivó en un choque contra un muro de contención.

Según su testimonio, el accidente ocurrió el 19 de septiembre, cuando decidió utilizar el servicio de moto para llegar con mayor rapidez a su lugar de trabajo.

TE PUEDE INTERESAR: ¡Estuvo fuerte el cotorro! Asaltan oficinas de La Cotorrisa, en Naucalpan

DRAG QUEEN SUFRE ACCIDENTE QUE LE PROVOCA HERIDA EXPUESTA; CONDUCTOR SE APLICACIÓN SE QUEDARA DORMIDO

Taft explicó que el viaje transcurría con normalidad hasta que, en plena ruta, el conductor perdió el control del vehículo.

El conductor prácticamente se quedó dormido mientras conducía sobre el periférico y me estrelló contra un muro de contención de concreto mientras aún seguía en movimiento. Mi rodilla tuvo una fractura expuesta y quedó hecha pedacitos, escribió.

Tras el impacto, señaló que logró bajarse de la motocicleta, mientras que el conductor permaneció en el vehículo y posteriormente huyó del lugar. Indicó además que su perfil en la aplicación fue suspendido después del incidente.

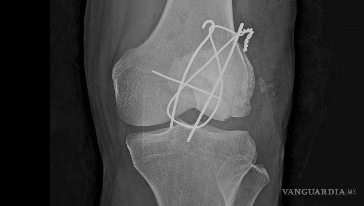
$!La drag queen Genn Taft continúa su recuperación luego del choque registrado durante un viaje en Uber Moto.

GENN TAFT ESPERÓ CASI UNA HORA POR AMBULANCIA; LE RECONSTRUYEN RODILLA

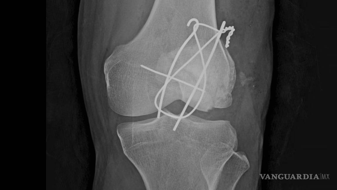
Taft afirmó que la ayuda de emergencias tardó en llegar y que, después de 50 minutos en la vía pública, fue trasladada por una ambulancia privada a la Cruz Roja, donde recibió una cirugía de emergencia. Detalló que salió del quirófano “con 3 clavos y un alambre para unir los pedazos de la rótula”, además de múltiples puntos de sutura.

En su mensaje, señaló que el proceso de recuperación será prolongado y que actualmente depende de terceros para cubrir necesidades básicas, lo que ha afectado su capacidad laboral y económica. He estado y seguiré en cama un buen rato. Dependo completamente de ayuda para absolutamente todo... mi vida prácticamente se detuvo por completo”, escribió.

La drag queen explicó que no cuenta con seguro de gastos médicos y que, aunque logró cubrir los costos iniciales de hospitalización, debe reembolsar ese dinero. Indicó que la aseguradora vinculada al servicio está dispuesta a revisar los gastos efectuados, pero hasta el momento no se ha concretado ningún reembolso.

$!Genn Taft denunció un accidente en Uber Moto tras que el conductor se durmiera en Periférico, hecho que le dejó una fractura expuesta y fuertes gastos médicos.

TE PUEDE INTERESAR: Van por fan atacante de Ariana Grande: lo acusan por alterar el orden público

DRAG QUEEN PIDE APOYO PARA PAGAR GASTOS MÉDICOS TRAS ACCIDENTE POR CONDUCTOR IRRESPONSABLE

Añadió que aún enfrentará costos relacionados con terapias de rehabilitación, atención psicológica, medicamentos y el proceso legal que planea iniciar contra el conductor y las empresas involucradas.

A través de la red social, Taft compartió los recibos correspondientes a los gastos médicos que ha cubierto y pidió apoyo económico. Asimismo, abrió una campaña en la plataforma GoFundMe para recaudar fondos destinados a cubrir los costos del hospital y otros gastos derivados del accidente. “Ayúdame con lo que puedas... Todo es bien recibido, de a peso en peso sé que lo podemos lograr, señaló.

La drag queen Genn Taft sigue en dándole seguimiento a su carpeta de investigación después de haber sufrido un accidente cuando viajaba en una moto de aplicación. Hasta ahora, ni Uber ni la aseguradora Axa han emitido una postura pública respecto al caso.

Temas



Localizaciones



Organizaciones



Me interesan los temas de actualidad, la música de Asia y el Glam Rock; con pasión por los deportes como el Fútbol Americano y los e-sports. Parte de la comunidad Queer que disfruta la literatura y las tendencias.
Licenciada en Letras Españolas por la Universidad Autónoma de Coahuila, con diplomado en Literatura Contemporanea del siglo XX otorgada por el INBA y ponente en el II Congreso Internacional de Humanidades: Horizontes y Desafíos en la Investigación Interdisciplinaria, Además de contar con certificado en Lengua de Señas Mexicanas nivel avanzado.

Selección de los editores